وظائف Cistanche للكلى ومرض السكري
Mar 11, 2022
يؤدي الخلل في الساعة البيولوجية في الأنابيب الكلوية إلى تعزيز تكوين السكر في الكلى وتفاقم ارتفاع السكر في الدم في مرض السكري
لمزيد من المعلومات: ali.ma@wecistanche.com
كاميل أنسيرمت 1،6 ، غابرييل سينتينو 1،6 ، يوهان بينون 1،6 ، دانيال أورتيز 2،6 ، سيلفان براديرفاند 3 ، آندي غارسيا 1 ، لوري مينين 2 ، فريديريك غاتشون 1،4 ، هيكاري إيه آي. يوشيهارا 5 وديمتري فيرسوف 1
1قسم العلوم الطبية الحيوية ، جامعة لوزان ، لوزان ، سويسرا ؛2خدمة قياس الطيف الكتلي ، معهد العلوم والهندسة الكيميائية ، مدرسة البوليتكنيك الفيدرالية في لوزان ، لوزان ، سويسرا ؛3مرفق تقنيات الجينوم ، جامعة لوزان ، لوزان ، سويسرا ؛4معهد العلوم البيولوجية الجزيئية ، جامعة كوينزلاند ، كوينزلاند ، أستراليا ؛ و 5معهد الفيزياء ، Ecole Polytechnique Fédérale de Lausanne ، لوزان ، سويسرا
الالساعة اليوميةهي آلية جزيئية في كل مكان لحفظ الوقت تعمل على مزامنة الوظائف الخلوية والنسيجية والبيولوجية الجهازية مع 24- دراجات بيئية على مدار الساعة. تعمل الساعات البيولوجية المحلية على دفع الإيقاعات الخاصة بنوع الخلية والأنسجة ، وقد تم تعقيد خلل التنظيم في التسبب و / أو تطور مجموعة واسعة من الأمراض. ومع ذلك ، فإن الدور الفيزيولوجي المرضي جوهريالساعات اليوميةفي الكلى لمرضى السكر لا يزال مجهولاً. لمعالجة هذا السؤال ، استحثنا النوع الأولداء السكريمع الستربتوزوتوسين في الفئران الخالية من منظم النسخ الجركادي BMAL1 في الخلايا البودوسية (الفئران cKOp) أو فيالكلىأنبوب صغير (الفئران cKOt). لم يكن هناك ارتباط بين الخلل الوظيفي في الساعة اليومية وتطور اعتلال الكلية السكري في الفئران المصابة بداء السكري cKOp وcKOt. ومع ذلك ، الفئران مع cKOtداء السكريأظهر ارتفاع السكر في الدم المتفاقم ، وزيادة إفراز الجلوكوز الجزئي في البول ، وزيادة التبول ، وتضخم الكلى الأكثر وضوحًا مقارنة بالفئران التي عولجت بالستربتوزوتوسين. كشفت تحليلات الرنا المرسال وتعبير البروتين عن تحسن كبير في مسار تكوين الجلوكوز فيالكلىمقارنة مع الفئران المصابة بمرض السكري. تحليل النسخ مع التحليل الوظيفي لفئران cKotداء السكريحددت التغيرات في الآليات المتعددة التي تؤثر بشكل مباشر أو غير مباشر على مسار تكون الجلوكوز. وهكذا ، فإننا نثبت ذلك الخلل في الجوهرالكلىأنبوب صغيرالساعة اليوميةيؤدي إلى تفاقم ارتفاع السكر في الدم السكري عن طريق تعزيز تكوين الجلوكوز فيالكلىالنبيبات القريبة وإبراز أهمية السلوك اليومي لدى المرضى المصابينداء السكري.
الكلمات الرئيسية:الساعة اليومية; داء السكري؛ استحداث السكر؛ النبيبات الدانية

انقر على Cistanche in Urdu و Cistanche لمرض السكري
السد الانتقالي
فيداء السكري، الالكلىيساهم في تطوير ارتفاع السكر في الدم السكري عن طريق زيادة إعادة امتصاص الجلوكوز من البول الأولي ومن خلال تنظيم تكون الجلوكوز في النبيبات القريبة. ومع ذلك ، يتم التحكم في هذه العمليات أيضًا بواسطةالساعة اليومية، آلية تزامن مجموعة متنوعة من وظائف الكلى المحددة مع دورات الضوء والظلام اليومية. هنا ، أوضح أن الخلل في الساعة البيولوجية الجوهرية في النبيبات الكلوية يمكن أن يؤدي إلى تفاقم فرط سكر الدم السكري عن طريق تعزيز تكوين السكر في الكلى ، وتسلط هذه النتائج الضوء على أهمية التأثيرات اليومية في مرضى السكري ، مع الآثار المحتملة لإدارة الجلوكوز
داء السكريهو مرض جهازي تلعب فيه الكلى دورًا خاصًا. في مرض السكري ، فإنالكلىيساهم في تطوير فرط سكر الدم السكري عن طريق زيادة إعادة امتصاص الجلوكوز من البول الأساسي ومن خلال تعزيز إنتاج الجلوكوز عن طريق استحداث السكر. من مرض السكري ، الذي يتميز بتلف الكبيبات والأنبوب والأوعية الدموية في الكلى. على الرغم من أن الإجهاد الاستقلابي هو العامل الأساسي في التسبب في حدوث DN وتطوره ، إلا أن ارتفاع السكر في الدم وحده لا يؤدي إلى قصور حلقي في معظم مرضى السكري .4 هذا يشير إلى أن مقترنًا بمرض متداخلة أو وجود "ضربات ثانية" بيئية أو وراثية أو لاجينية قد تكون مطلوبة للبدء و / أو التقدم المتسارع لـ DN. اقترحت الأبحاث الحديثة أن آلية الساعة البيولوجية تقع عند تقاطع العديد من العمليات الفسيولوجية (المرضية) فيالكلى.5 الشرطيالساعة اليوميةفي أنواع مختلفة من الخلايا الكلوية في النماذج الحيوانية يؤدي إلى اضطراب إيقاع الساعة البيولوجية معدل الترشيح الكبيبي (GFR) ، 6 فقدان جزئي للتحكم في ضغط الدم ، 7،8 تغيرات جوهرية في مسارات التمثيل الغذائي الكلوي ، 9،10 وتطور سريع للمزمنمرض كلوي.11 في البشر ، يرتبط اختلال الساعة البيولوجية المرتبط بالعمل بين الساعة البيولوجية والتغذية وإيقاعات النشاط بانخفاض معدل الترشيح الكبيبي ، وزيادة إفراز الألبومين البولي ، و 13 التبول الليلي ، وزيادة إنتاج البول الكلوي ، 14 وزيادة خطر الإصابة بأمراض الكلى المزمنة.
ومن المثير للاهتمام أنالساعة اليوميةفي الالكلىيتحكم أو يرتبط بالعديد من المسارات الخلوية التي تشارك في التسبب في مرضداء السكريو / أو DN. على سبيل المثال ، تؤدي الضربة القاضية الخاصة بالمنشط النسخي BMAL1 (المسمى أيضًا ARNTL) ، وهو عنصر مركزي في آلية الساعة اليومية ، إلى زيادة ملحوظة في مستويات التعبير عن بروتينات mRNAs التي تشارك في تكوين الجلوكوز الكلوي ، بما في ذلك ناقل الجلوتامين SNAT3 (SLC38A3) ، الجلوتاميناز (GLS) ، ونزعة الهيدروجين الجلوتامات 1 (GLUD1). والأهم من ذلك ، تحدث تغيرات التعبير هذه في حيوانات خروج المغلوب في مستوى السكر في الدم. Slominskiet آل. أظهر أن بروتين الساعة البيولوجية PER1 متورط في تنظيم النسخ لناقل الجلوكوز Sglt1 (Slc5a1) في خلايا الأنابيب القريبة ، 16 و Ansermetet al. أظهرت أن الساعة اليومية في الخلايا البودوسية تتحكم في التعبير عن جين Arhgap24 المرتبط بالتأهب إلى DN في كل من السكري من النوع 1 والنوع 2. ) ، وهو عامل حاسم في تحفيز التورم الخلوي في الكلى المصابة بداء السكري .9،17 النيكوتيناميددينين ثنائي النوكليوتيد المعتمد على ديستيلاز سيرتوين 1 (SIRT1) ، أحد المنظمين الرئيسيين لتلف خلية البودوسيت في DN ، تم تحديد 18 كمنظم رئيسي لحل التغذية المرتدة للطاقة داخل شبكة الساعة الأساسية .19 توجد آلية خلوية أخرى تربط DN بـالساعة اليوميةهو الهدف mammaliant من rapamycin ، كيناز الذي ينسق الأيض الخلوي مع حفظ الوقت اليومي. . بشكل جماعي ، تشير هذه الملاحظات إلى حدوث اضطرابات في الساعة اليومية فيالكلىقد يؤثر على تطور فرط سكر الدم السكري عن طريق تحفيز استحداث السكر الأنبوبي الكلوي و / أو إعادة امتصاص الجلوكوز ، أو عن طريق العمل "كضربة ثانية" تساهم في التسبب في مرض DN. لمعالجة هذه الفرضيات ، قمنا بتوليد وتمييز الفئران باستخدام النوع الأول من الستربتوزوتوسين (STZ).داء السكريوحذف محدد لـالساعة اليوميةمنسق Bmal1 في الخلايا الكبيبية أو في الأنبوب الكلوي.

انقر لCistanche لعلاج أمراض الكلى
طُرق
تم الحفاظ على الحيوانات على أساس الشهرة في النظام الغذائي القياسي للمختبر (نظام KLIBA NAFAG 3800). أجريت جميع التجارب على ذكور الفئران.
نماذج الفأرة
تم تحفيز تعطيل جين Bmal1 (Arntl) عن طريق العلاج لمدة {{1} أسبوع بالدوكسيسيكلين (DOX ؛ 2 مجم / مل في ماء الشرب) لـ 8- أسبوع Bmal1lox / lox / Nphs 2- rtTA / الفئران LC1 (الفئران cKOp) أو 8- الفئران Bmal1lox / lox / Pax القديمة 8- rtTA / LC1 (الفئران cKOt). تلقت ضوابط Theirlittermate (الفئران Bmal1lox / lox) نفس علاج DOX. تم وصف كلا النموذجين مسبقًا والتحقق من صحتها .69 بعد أسبوع واحد من نهاية علاج DOX ، النوع الأولداء السكريتم إحداثه بواسطة حقن IP من STZ (5 0 ملغم / كغم من وزن الجسم [BW] ؛ يوميًا لمدة 5 أيام). تلقت الفئران المعالجة بالمركبات حقن مركبة بمحلول ملحي مخزّن بالفوسفات. تم إجراء جميع التجارب بعد 8 أسابيع من آخر حقن STZ أو السيارة. في جميع التجارب ، تم إجراء جمع الأنسجة والدم من الفئران التي تم التضحية بها في ZT9 (ZT تشير إلى وحدات زمنية Zeitgeber ؛ ZT0 هو وقت الضوء ، و ZT12 هو وقت إطفاء الضوء).
أقفاص التمثيل الغذائي
تم إيواء الفئران في أقفاص أيضية فردية (Tecniplast). تم إجراء جمع البول على مدار 24 ساعة بعد فترة تكيف 4- يومًا.
كيمياء البلازما والبول
تم قياس تركيزات البول والبلازما Naþ و Kþ و Ca2þ و Mg2þ والفوسفات والكرياتينين والجلوكوز والبولات واليوريا والأسمولية من قبل مختبرات Chimie Clinique التابعة لمركز Hospitalier Universitaire Vaudois. يتم تقييم درجة الحموضة في البول بمقياس الأس الهيدروجيني (ميتروهم). تم قياس درجة حموضة الدم وغازات الدم على الدم الشرياني الوريدي المختلط باستخدام محلل الدم الملحمي (Siemens Healthcare). تم قياس الأمونيوم البولي باستخدام طريقة Berthelot. تم قياس حمض المعايرة البولي باستخدام طريقة Chan.25 في مستويات الألدوستيرون في البلازما التي تم قياسها بواسطة المقايسة المناعية الإشعاعية (DPC). تم تحديد أنسولين البلازما باستخدام مجموعة من Mercodia
معدل الترشيح الكبيبي (GFR)
تم قياس معدل الترشيح الكبيبي (GFR) على الحيوانات المخدرة باستخدام الأنسولين - فلورسين أيزوثيوسيانات ، كما هو موصوف سابقًا .26
اختبار تحمل الجلوكوز IP
بعد 15 ساعة من الصيام ، تم حقن التحكم المعامل للسيارة أو STZ و cKotmice بالجلوكوز (1 جم / كجم من وزن الجسم). تم قياس نسبة السكر في الدم باستخدام قارئ نسبة السكر في الدم في قطرة من دم الذيل (Contour NextOne ؛ Bayer) قبل (الوقت ¼ 0) وبعد 15 و 30 و 60 و 90 و 120 و 180 دقيقة بعد حقن الجلوكوز.
اختبار تحمل الأنسولين
بعد 4 ساعات من تقييد الطعام ، تم حقن فئران التحكم بالمركبة أو STZ وفئران cKot بـ IP 0. 5 U من الأنسولين (الأنسولين البشري المؤتلف ؛ Sigma) لكل كيلوغرام من وزن الجسم. تم قياس نسبة السكر في الدم قبل حقن الأنسولين (الوقت ¼ 0) وبعد 15 و 30 و 45 و 60 و 90 و 120 و 150 و 180 دقيقة بعد حقن الأنسولين. إذا انخفض مستوى السكر في الدم إلى أقل من 2 ملي مولار ، تم إنقاذ الفئران عن طريق الحقن عبر بروتوكول الإنترنت بـ 30 مجم من الجلوكوز وتم استبعادها من التحليل.
تسلسل الحمض النووي الريبي
تم إجراء تسلسل الحمض النووي الريبي كما هو موضح في Ansermet et al. تم استخدام شرح الجين Musmusculus GRCm38.92. تم تصعيد عدد الجينات باستخدام تطبيع TMM وتحويل السجل إلى تعدادات لكل مليون (CPM) باستخدام وظيفة "CPM" من حزمة limma Rpackage. تم حساب التعبير التفاضلي بين الضربة القاضية والحيوانات الضابطة من أجل غير المعالج (محلول ملحي مخزّن بالفوسفات) والمعالج ( STZ) والتفاعل بين 2. بالنسبة لكل من المقارنات الثلاثة ، تم اختيار الجينات ذات معدل الاكتشاف الخاطئ (FDR) <5 بالمائة="" لتحليل="" إثراء="" الأنطولوجيا="" الجينية="" "العملية="" البيولوجية"="" مع="" "ملف="" تعريف="" الكتلة".="" 28="" شروط="" مع="" قيمة="">5>< 0.01="" were="" considered="" as="" significant="" and="" further="" processed="" with="" the="" function="" "simplify"="" with="" default="" parameters="" to="" remove="">
تحليل احصائي
يتم التعبير عن جميع البيانات على أنها تعني ± SEM. الاختبارات الإحصائية موصوفة في الأشكال التوضيحية وفي الجدول التكميلي S1 0. تم اعتبار P <0.05 معنوية.="" تم="" إجراء="" التحليل="" الإحصائي="" باستخدام="" برنامج="" graphpad="" prism="" (الإصدار="">0.05>
البقع الشعرية الغربية
تم إجراء البقع الشعرية الغربية في مرفق تحليل البروتين بجامعة لوزان (https://www.unil.ch/paf/home/menuinst/technologies/western-in-capillaries.html). تم إجراء تقدير الكميات الخاصة بهم بطريقة أعمى بواسطة فني من هذه المنشأة.

يمكن أن يحسن القسطرة وظائف الكلى
النتائج
لا يؤدي تعطيل Bmal1 في خلايا podocytes إلى تحريض DN في الفئران المعالجة بـ STZ
تم إحداث التثبيط النوعي لخلايا بودوسيت لـ Bmal1 (Arntl) من خلال علاج 2- أسبوع بـ DOX (2 مجم / مل في مياه الشرب) لـ 8- أسبوع Bmal1lox / lox / Nphs 2- rtTA / تلقت الفئران LC1 (المشار إليها فيما يلي باسم الفئران cKOp). كما هو مبين في الشكل 1 أ ، أدى علاج STZ (انظر الطرق) إلى ارتفاع السكر في الدم ، والذي لم يكن مختلفًا بين الفئران الضابطة و cKOp. كان BW أقل في الحيوانات المعالجة بـ STZ ، لكن هذا التأثير كان مشابهًا في كلا النوعين الجيني (الشكل 1 ب). لم يكن معدل الترشيح الكبيبي ، الذي تم قياسه باستخدام تصفية إيزوثيوسيانات الأنسولين - فلوريسئين ، مختلفًا بين التحكم المعالج بـ STZ وفئران cKOp (الشكل 1 ج). أظهرت الحيوانات المصابة بداء السكري بيلة سكرية (الشكل 1 د) ، بوال (الشكل 1 هـ) ، بيلة بروتينية منخفضة الوزن الجزيئي (الشكل 1 و) ، وبيلة ألبومين طفيفة (الشكل 1 و). ومع ذلك ، لم يكن هناك اختلاف في هذه المعلمات بين التحكم المعالج STZ وفئران cKOp
تظهر الفئران الخالية من BMAL1 في النبيبات الكلوية فرط سكر الدم المتفاقم مع مرض السكري
كما هو مبين في الشكل 2 أ ، لم يكن BW مختلفًا في الفئران المصابة بمرض السكري والفئران الخالية من BMAL1 في النبيبات الكلوية (Bmal1lox / lox / Pax المعالجة بـ DOX 8- الفئران rtTA / LC1 ؛ يشار إليها فيما بعد باسم الفئران cKot). أظهر تحليل بلازما الدم أن ارتفاع السكر في الدم الناجم عن STZ يتفاقم في الفئران التي يتم تغذيتها وصيامها (الشكل 2 ب و ج على التوالي). كانت تركيزات اليورات والألدوستيرون مختلفة بين التحكم المعالج بـ STZ و c Kotmice ، باستثناء زيادة مستويات اليوريا في البلازما في الفئران cKOt (الجدول التكميلي S1). لم تكن مستويات الأنسولين في البلازما مختلفة بين التحكم المعالج بـ STZ والفئران الصائمة cKot (الشكل 2 د). لم تكشف اختبارات تحمل الجلوكوز والأنسولين التي تم تقييمها على أنها انحدار تركيز الجلوكوز المتناقص عن فروق ذات دلالة إحصائية بين الفئران من أي من النمط الجيني في كل من ظروف العلاج (الشكل 2 هـ و و ، على التوالي).داء السكري-الناجم عنالكلىكان تضخم أكثر وضوحا في الفئران المصابة بداء السكري cKOt مقارنة بضوابط مرض السكري (الشكل 2g). لم يكن GFR مختلفًا بين الفئران المعالجة بـ STZ من كلا الأنماط الجينية (الشكل 2 ح). كانت الزيادة التي يسببها STZ في كمية الماء وحجم البول أكثر وضوحًا في الفئران c Kot (الشكل 3 أ و ب ، على التوالي) ، في حين أن الأسمولية في البول لم تكن مختلفة بين الفئران المصابة بداء السكري من كلا النوعين الجيني (الشكل 3 ج). كان الإفراز الجزئي للجلوكوز أعلى وكان الإفراز الجزئي للصوديوم أقل في cKOtmice المعالج بـ STZ مقارنةً بعناصر التحكم المعالجة بـ STZ (الشكل 3d و e ، على التوالي) ، في حين أن قيم الإفراز الجزئي للفوسفات (الشكل 3f) ، والمغنيسيوم (الشكل 3g) ، و لم يكن الكالسيوم (الشكل 3 ح) مختلفًا بين الفئران المصابة بداء السكري من كلا النوعين الجيني ، فكل من الفئران الضابطة وفئران cKot التي عولجت بـ STZ كان لها بيلة بروتينية منخفضة الوزن الجزيئي مماثلة ولكن لا يوجد بيلة ألبومين (الشكل التكميلي S1). لم يتم العثور على فروق نسيجية كبيرة بين كليتي التحكم المعالَج بالمركبة أو STZ وفئران cKot (الشكل التكميلي S2).
الشكل 1|الخصائص العامة للسيطرة المُعالجة بواسطة المركبات أو الستربتوزوتوسين (STZ) وفئران cKOp. (أ) سكر الدم غير الصائم. (ب) وزن الجسم (BW). (ج) معدل الترشيح الكبيبي (GFR) (تصفية الأنسولين). (د) جلوكوز البول. (هـ) حجم البول. (و) تلطيخ كوماسي الأزرق للبروتينات البولية. بالنسبة لجميع الفئران ، تم تحميل 3 بالمائة (حجم) من 24- ساعة من البول على هلام الصوديوم دوديسيل كبريتات - بولي أكريلاميد الكهربائي. يعني ± SEM معطى. n =9 في كل مجموعة ، باستثناء قياسات GFR ، حيث تم استخدام n =6 و n =9 الفئران في مجموعة التحكم المعالجة بـ STZ ومجموعات cKOpgroups ، على التوالي. تم الحصول على جميع النتائج من حيوانات عمرها 19- أسبوع. تم استخدام تحليل ثنائي الاتجاه للتباين باستخدام اختبار Sidak للمقارنة المتعددة. * P <0. 0="" 5،="" †="" p="">0.><0. 01،="" ‡="" p="">0.><0.001. alb="" ،="" الألبومين="" (65="" كيلو="" دالتون)="" ؛="" lmwp="" ،="" بروتين="" منخفض="" الوزن="">0.001.>

الشكل 2|الخصائص العامة للسيطرة المُعالجة بواسطة المركبات أو الستربتوزوتوسين (STZ) وفئران c Kot. (أ) وزن الجسم. n =8 للتحكم في المركبات وفئران c Kot ، و n =9 للتحكم المعالج STZ وفئران c Kot. (ب) سكر الدم غير الصائم. n ¼ 8 و n =9 للتحكم المعالج بالمركبة و STZ وفئران c Kot ، على التوالي. (ج) صيام نسبة السكر في الدم (صيام 16 ساعة). n =9 للتحكم المعالج بالمركبة وفئران c Kot ، و n =7 و n =6 للتحكم المعالج بواسطة STZ وفئران c Kot ، على التوالي. (د) مستويات الأنسولين في السيطرة على المركبات أو المعالجة بـ STZ وفئران c Kot. n =9 andn =6 للتحكم في المركبات وفئران c Kot ، على التوالي ، و n =10 و n =7 للتحكم بحقن STZ وفئران c Kot ، على التوالي. تم قياس مستويات الأنسولين في البلازما في ZT18 ، في منتصف المرحلة غير النشطة. (هـ) تم قياس مستويات الجلوكوز في الدم على مدار اختبار تحمّل الجلوكوز في السيارة أو المجموعة المعالجة بـ STZ وفئران c Kot. n =9 للتحكم المعالج بالمركبة وفئران c Kot ، و n =7 و n =6 للتحكم المعالج بواسطة STZ وفئران c Kot ، على التوالي. (و) تم قياس مستويات الجلوكوز في الدم على مدار اختبار تحمل الأنسولين في مجموعة التحكم في السيارة أو المعالجة بـ STZ وفئران c Kot. n =5 لفئران التحكم المعالجة بالمركبة أو STZ ، و n =6 للمركبة أو الفئران المعالجة بـ STZ cKO. (ز)داء السكري-الناجم عنالكلىتضخم في حجم الخلايا. ن {0}} في كل مجموعة. تم تقييم تضخم الكلى عن طريق قسمة وزن الكلى (KW) على وزن الجسم (BW). تم حساب قيم KW / BW النسبية للتحكم المحقون STZ و c Kot الحيوانات من خلال عزو 1 {{1 {12}}} 0 بالمائة إلى مجموعة حقن المركبات المقابلة. (ح) معدل الترشيح الكبيبي (GFR) (تصفية الأنسولين). n ¼ 5 و n 6 للتحكم المعالج بـ STZ وفئران c Kot ، على التوالي. يعني ± SEM معطى. تم استخدام تحليل ثنائي الاتجاه للتباين مع اختبار Sidak للمقارنات المتعددة. * ف <0.05 ،="" †="" ف="">0.05><0.01 ،="" ‡="" ف="">0.01><>

فرط سكر الدم المتفاقم في فئران cKOt يرتبط بالتعبير المتزايد عن الإنزيمات المولدة للجلوكوز في الكلى
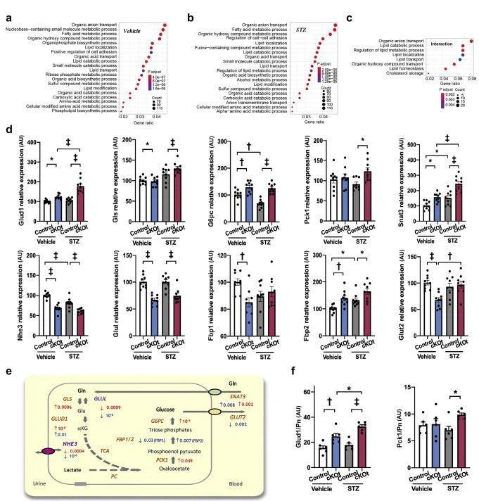
لتحديد المسارات الجزيئية المرتبطة بارتفاع السكر في الدم المتفاقم في الفئران المعالجة بـ STZ ، أجرينا تحليل تسلسل الحمض النووي الريبي لـالكلىمتبوعة بتحليل إثراء مسار النسخ بالكامل وتحليلات محددة لبروتينات ترميز الحمض النووي الريبي المتضمنة في تكوين الجلوكوز الكلوي وإعادة امتصاص الجلوكوز الكلوي. كشفت مقارنة النسخ النصية عن 1833 نسخة تم التعبير عنها تفاضليًا بين عناصر التحكم المُعالجة بالمركبة و STZ (الجدول التكميلي S2 ؛ FDR <5 بالمائة)="" ،="" 1784="" نسخة="" معبر="" عنها="" بشكل="" تفاضلي="" بين="" الفئران="" المعالجة="" بـ="" stz="" والمعالجة="" بـ="" stz="" (الجدول="" التكميلي="" s3="" ؛="" fdr="">5><5 بالمائة)="" ،="" 3107="" نصوص="" معبر="" عنها="" بشكل="" مختلف="" بين="" التحكم="" المعالج="" بالمركبة="" وفئران="" c="" kot="" (الجدول="" التكميلي="" s4="" ؛="">5>< 5%),="" and="" 2667="" transcripts="" differentially="" expressed="" between="" stz-treated="" control="" and="" c="" kot="" mice="" (supplementary="" table="" s5;="" fdr="" <="" 5%).="" gene="" ontology="" analysis="" of="" differentially="" expressed="" transcripts="" revealed="" enrichment="" of="" pathways="" related="" to="" lipid,="" amino="" acid,="" and="" carboxylic="" acid="" metabolism,="" and="" organic="" anion="" transport="" between="" control="" and="" cko="" mice="" in="" both="" vehicle="" and="" stz="" treatment="" groups="" (figure="" 4a="" and="" b,="" respectively,="" and="" supplementary="" tables="" s6="" and="" s7,="" respectively).="" a="" total="" of="" 284="" transcripts="" exhibited="" genotype-by="" treatment="" interaction="" effects="" (supplementary="" table="" s8;="" fdr="" <="" 5%),="" including="" glud1="" and="" g6pc="" transcripts="" encoding="" enzymes="" involved="" in="" renal="" gluconeogenesis="" (see="" below).="" gene="" ontology="" analysis="" of="" transcripts="" with="" significant="" interaction="" showed="" enrichment="" of="" only="" a="" limited="" number="" of="" pathways,="" mainly="" related="" to="" lipid="" metabolism="" and="" organic="" anion="" transport="" (figure="" 4c="" and="" supplementary="" table="" s9).="" among="" the="" genes="" encoding="" transporters="" involved="" in="" glucose="" reabsorption="" in="" the="" proximal="" tubule="" (sglt1,="" sglt2,="" glut1,="" and="" glut2),="" only="" glut1="" (slc2a1)="" displayed="" higher="" expression="" in="">الكلىمن الفئران المصابة بداء السكري cKOt مقارنة مع عناصر التحكم في مرض السكري (الجدول التكميلي S5).
الشكل 3|كمية الماء وخصائص البول للسيطرة المعالجة بالسيارات أو الستربتوزوتوسين (STZ) وفئران c Kot. (أ) كمية الماء التي يتم تناولها في الساعة 24-. n =8 للتحكم المعالج أو الفئران cKOt ، و n =9 للتحكم المعالج STZ أو الفئران cKOt. (ب) حجم البول 24- ساعة. n =8 للتحكم المعالج أو الفئران cKOt ، و n =9 للتحكم المعالج STZ أو الفئران cKOt. (ج) الأسمولية في البول. n =8 لفئران التحكم المعالجة بالمركبة ، n =7 للفئران المعالجة c Kot ، و n =9 للتحكم المعالج STZ أو الفئران cKOt. (د) الإخراج الجزئي (Fe) للجلوكوز. n =8 التحكم في المركبات المعالجة أو الفئران cKOt ، و n =9 للتحكم المعالج بواسطة STZ أو الفئران cKOt. (هـ) حديد الصوديوم. n =8 لفئران التحكم المعالجة بالمركبة ، n =7 لفئران c Kot المعالجة بالمركبة ، و n =9 لفئران التحكم المعالجة بـ STZ أو cKOt. (و) حديد الفوسفات. n =8 لفئران التحكم المعالجة بالمركبات ، n =7 لفئران cKOt المعالجة بالمركبة ، n =8 لفئران التحكم المعالجة بـ STZ ، n =9 للمعالجة بـ STZ الفئران cKOt. (ز) حديد المغنيسيوم. n =8 فئران تحكم مُعالجة بالمركبات ، n =7 لفئران c Kot المُعالجة بالمركبات ، و n =9 لفئران تحكم مُعالجة بـ STZ أو cKOt. (ح) حديد الكالسيوم. n =8 فئران تحكم مُعالجة بالمركبات ، n =7 الفئران المعالجة c Kot ، و n =9 لفئران التحكم المعالجة بـ STZ أو cKOt. يعني SEM معطى. تم استخدام تحليل ثنائي الاتجاه للتباين مع اختبار Sidak للمقارنات المتعددة. * P <{{5 0}}.="" 0="" 5="" ،="" †="" p="">{{5><0.01 ،="" ‡="" p="">0.01><0.001. وزن="">0.001.>

السلائف الرئيسية المكونة للجلوكوز 2 فيالكلىأريلاكتات والجلوتامين .29 كما هو مبين في الشكل 4 د و هـ والجدول التكميلي S5 ، تمت زيادة مستويات التعبير عن البروتينات المشفرة للنسخ المشاركة في تكوين الجلوتامين الكلوي (Snat3 ، Gls ، و Glud1) في الكلى من فئران cKOt المعالجة بـ STZ مقارنةً بعناصر التحكم المعالجة بـ STZ على العكس من ذلك ، انخفض التعبير عن ترميز mRNA للجلوتامات الأمونيا ليجاز (نورس) ، والذي يعكس الخطوة الأولية لتحلل الجلوتامين التي يقودها GLS. وبالمثل ، كانت مستويات التعبير عن mRNAs التي تشفر إنزيمين في الجزء الشائع من مسار تكوين السكر (أي فوسفوينول بيروفات كربوكسيكيناز [Pck1] والجلوكوز -6- فوسفاتاز [G6pc]) أعلى في cKOtmice المعالج بـ STZ. تم تأكيد التعبير الأعلى لـ GLUD1 و PCK1 في كليتي الفئران المصابة بداء السكري عند مستوى البروتين بواسطة لطخة غربية شعيرية (الشكل 4f والشكل التكميلي S3). في كبد الفئران المصابة بداء السكري ، لم يكن مستوى التعبير عن GLUD1 مختلفًا بين الفئران الضابطة وفئران c Kot ، وكان التعبير عن PCK1 أقل في الفئران c Kot (الشكل التكميلي S4). وتجدر الإشارة إلى أن مستويات التعبير لـGlud1 و Snat3 و fructose -1 و 6- biphosphate 2 (Fbp2) و Glut1 كانت أعلى وكانت مستويات التعبير لـ Glul و Fbp1 و Glut2 أقل فيالكلىمن الفئران المعالجة بمركبات cKOt مقارنةً بالضوابط المعالجة بالمركبة.
الشكل 4|علم الأنطولوجيا الجينية (GO) تحليل تخصيب "العملية البيولوجية". (أ) تحليل GO للنصوص المعبر عنها تفاضليًا بتنسيقالكلىالسيطرة على المركبات المعالجة وفئران كوت. (ب) تحليل GO للنصوص المعبر عنها تفاضليًا في كليتي التحكم المعالج بالستربتوزوتوسين (STZ) وفئران c Kot. (ج) تحليل GO للنصوص التي تظهر تأثير تفاعل النمط الجيني عن طريق العلاج. مخططات نقطية لأهم 2 0 مصطلحات (قيمة Q <0. 0="" 1).="" تمت="" تصفية="" المصطلحات="" الزائدة="" عن="" الحاجة.="" يمثل="" الجيل="" جزء="" الجينات="" المهمة="" المشروحة="" بالمصطلح="" المعروض.="" يمثل="" حجم="" النقطة="" عدد="" الجينات="" المهمة="" المشروحة="" بالمصطلح="" المعروض.="" ن="6" لكل="" حالة.="" (د)="" مخططات="" تغيير="" الطية="" لنسخ="" ترميز="" الإنزيمات="" والنصوص="" المشاركة="" في="" تكوين="" السكر="" الكلوي.="" تم="" استخراج="" قيم="" مستوى="" التعبير="" من="" الجداول="" التكميلية="" s2="" و="" s3="" و="" s4="" و="" s5.="" *="" p="">0.><0. 05،="" †="" p="">0.><0.01، ‡="" p="">0.01،><0.001. (هـ)="" تمثيل="" تخطيطي="" لخلايا="" الأنابيب="" القريبة="" مع="" البروتينات="" الإنزيمات="" الرئيسية="" المشاركة="" في="" عملية="" تكوين="" السكر="" في="" الكلى.="" باللون="" الأحمر:="" قيم="" p="" للتعبير="" التفاضلي="" بين="" التحكم="" المعالج="" بـ="" stz="" وفئران="" c="" kot.="" باللون="" الأزرق:="" قيم="" p="" للتعبير="" التفاضلي="" بين="" التحكم="" المعالج="" بالمركبة="" وفئران="" c="" kot.="" تشير="" الأسهم="" الحمراء="" والزرقاء="" إلى="" زيادة="" ([)="" أو="" انخفاض="" (y)="" التعبير="" inckot="" الفئران.="" (و)="" التحليل="" الكمي="" للبقع="" الغربية="" الشعرية="" للغلوتامات="" ديهيدروجينيز="" (glud1)="" وفوسفوينول="" بيروفات="" كاربوكسيكيناز="" (pck1="" ؛="" الشكلان="" التكميليان="" s2="" و="" s3="" ،="" على="" التوالي)="">0.001.>الكلىمن محلول ملحي مخزّن بالفوسفات أو عنصر تحكم معالج STZ وفئران c Kot (n =6 percondition). تم استخدام تحليل ثنائي الاتجاه للتباين مع اختبار Sidak للمقارنات المتعددة. * P <0. 0="" 5،="" †="" p="">0.><0. 01،="" ‡="" p="">0.><0.001. au="" ،="" وحدة="" عشوائية="" ؛="" fbp1="" 2="" ،="" سكر="" الفواكه="" -1="" ،="" 6-="" ثنائي="" فوسفاتاز="" 1/2="" ؛="" g6pc="" ،="" الجلوكوز="" -6-="" الفوسفاتيز="" ؛="" gls="" ،="" الجلوتاميناز.="" glul="" ،="" إنزيم="" الجلوتامين="" ؛="" glut2="" ،="" ناقل="" الجلوكوز="" 2="" ؛="" nhe3="" ،="" مبادل="" هيدروجين="" الصوديوم="" 3="" ؛="" ضبط="" p="" ،="" تعديل="" p="" ؛="" الكمبيوتر="" الشخصي="" ،="" بيروفات="" كربوكسيلاز="" ؛="" snat3="" ،="" ناقل="" الجلوتامين="" ؛="" tca="" ،="">0.001.>

يتم تغيير الآليات المتعددة التي تؤثر بشكل مباشر أو غير مباشر على المسار الجلي في الكلى عند الفئران المصابة بداء السكري.
مسار تكوين الجلوكوز فيالكلىيمكن أن تتأثر بالساعة اليوميةإما بشكل مباشر ، من خلال التحكم النسخي ، أو الانتقالي ، أو ما بعد الترجمة للبروتينات المشاركة في تكوين الجلوكوز الكلوي ، أو بشكل غير مباشر ، عن طريق التأثير على آليات الكلى الأخرى التي ترتبط ارتباطًا جوهريًا بإنتاج الجلوكوز في الأنابيب القريبة. تم تمييز عوامل النسخ ، والمنشطات ، والمضادات الحيوية التي تتحكم في نسخ الإنزيمات المولدة للجلوكوز جزئيًا في الكبد والكلى والأنسجة الأخرى. الشكلان 5 أ و ب يلخصان التغيرات في مستويات التعبير عن النصوص التي تشفر منظمات النسخ المعروفة لتكوين السكر فيالكلىالفئران ofcontrol و cKOt (انظر أيضًا الجدولين التكميليين S4 و S5). من بين النصوص التي تم تحليلها ، أظهرت تلك التي ترميز مستقبلات تنشيط البيروكسيسوم d (PPARd) و cryptochromes 1 و 2 زيادة كبيرة ، في حين أن المستقبل النووي NR1D1 (المعروف أيضًا باسم REV-Erba) انخفض بشكل كبير في كليتي الفئران cKOt في كلتا المركبات و STZ- الحيوانات المعالجة مقارنة بالضوابط بنفس المعاملة. تمت زيادة التعبير عن مُنشِّط g Coactivator g المُنشَّط بواسطة البيروكسيسومبروليفيرتر 1- a (Pgc1a، Ppargc1a) في الفئران المُعالجة بـ STZ مقارنةً بعناصر التحكم المُعالجة بـ STZ ، وانخفض التعبير عن مُستقبل الجلوكوكورتيكويد (Gr ، Nr3c1) في cKOtm المعالج بالمركبة بالمقارنة مع الضوابط المعالجة بالمركبة. التعبير offorkhead O box protein (Foxo1) ، العامل النووي للخلايا الكبدية 4a (Hnf4a) ، بروتين الارتباط المستجيب للأدينوسين أحادي الفوسفات الدوري (Creb1) ، Para ، Sirt1 ، بروتين ملزم لـ CREB (Cbp ، Crebbp) ، مُنشط النسخ المنظم CREB 2 (Crtc2) ولم يتأثر هيستون ديستيلاز 3 (Hdac3) بالعلاج أو التركيب الوراثي
الشكل 5|(أ) مخططات تغيير الطيات للنصوص المشفرة لعوامل النسخ ، والمنشطات ، و corepressors التي تحكم نسخ الإنزيمات المولدة للجلوكوز في التحكم في المركبات والستربتوزوتوسين (STZ) وفئران cKOt. تم استخراج قيم مستوى التعبير من الجداول التكميلية S2 و S3 و S4 و S5. * P <0. {{1="" 0}="" 5،="" †="" p="">0.><0.01، ‡="" p="">0.01،><0.001. (ب)="" التمثيل="" التخطيطي="" للبيانات="" المقدمة="" في="" الشكل="" 5="" أ.="" باللون="" الأحمر:="" قيم="" p="" للتعبير="" التفاضلي="" بين="" التحكم="" المعالج="" بـ="" stz="" وفئران="" ckot.="" باللون="" الأزرق:="" قيم="" p="" للتعبير="" التفاضلي="" بين="" التحكم="" المعالج="" بالمركبة="" وفئران="" ckot.="" تشير="" الأسهم="" الحمراء="" والزرقاء="" إلى="" زيادة="" ([)="" أو="" انخفاض="" التعبير="" (y)="" في="" الفئران="" ckot.="" au="" ،="" وحدة="" تعسفية="" ؛="" cbp="" ،="" xxx="" ؛="" creb1="" ،="" xxx="" ؛="" crtc2="" ،="" xxx="" ؛="" cry1="" ،="" xxx="" ؛="" cry2="" ،="" xxx="" ؛="" foxo1="" ،="" xxx="" ؛="" g6pc="" ،="" xxx="" ؛="" غرام="" ،="" xxx="" ؛="" hdac3="" ،="" xxx="" ؛="" hnf4a="" ،="" xxx="" ؛="" nrld1="" ،="" xxx="" ؛="" pck1="" ،="" xxx="" ؛="" ppara="" ،="" xxx="" ؛="" pparg="" ،="" xxx="" ؛="" sirt1="" ،="">0.001.>

نظرًا لأن الحماض هو المحفز الرئيسي غير المباشر لتكوين الجلوكوز الكلوي ، فقد قمنا بقياس درجة الحموضة في الدم والبول ، وانزيمات الدم ، وإفراز الأمونيا (NH3 / NH4þ) في البول ، والحموضة القابلة للتغير. كما هو مبين في الشكل 6 ، كان الرقم الهيدروجيني للدم أعلى في الفئران المعالجة بمركبات cKOt مقارنةً بالتحكم في المركبات المعالجة ولكنه لم يكن مختلفًا بين الفئران المصابة بداء السكري في كلا الطرازين الجيني. كانت بيكربونات البلازما أقل في ضوابط مرض السكري مقارنة بالضوابط المعالجة بالمركبة. ومع ذلك ، تم العثور على تباين عقدي في بيكربونات البلازما بين التحكم في مرض السكري وفئران cKOt. لم تتأثر قاعدة البلازما الزائدة ودرجة الحموضة في البول بالعلاج أو التركيب الجيني. ومع ذلك ، فإن فئران cKOt المعالجة بـ STZ تفرز كميات متزايدة من الأمونيا والحموضة القابلة للمعايرة مقارنة بعناصر التحكم المعالجة بـ STZ. كشف تحليل النصوص المشفرة للبروتينات المشاركة في معالجة قاعدة الحمض الكلوي عن انخفاض التعبير عن مبادل هيدروجين الصوديوم NHE3 (Slc9a3 ؛ انظر الشكل 4 د و هـ) ومن مبادل الأنيون AE1 (Slc4a1) وزيادة التعبير عن الأنهيدراز الكربوني II (Car2) والوحدة الفرعية b1 من Hþ-ATPase (Atp6v1b1). ومع ذلك ، لم يلاحظ أي اختلاف في مستويات التعبير عن كلوريد البروتون المضاد Clcn5 ، الوحدة الفرعية b2 من Hþ-ATPase (Atp6v1b2) ، ناقل الأمونيا Rhcg ، ناقل cotransporter لبيكربونات الصوديوم NBCE1 (Slc4a4) ، كلوريد الصوديوم المعتمد على البيكربونات (Slc4a4) ، مبادل ثنائي كربونات الصوديوم (Slc4a4) أنيون مبادل بندرين (Pds ، Slc26a4) فئران cKOt غير السكري مقارنة مع ضوابط مرض السكري (الجدول التكميلي S5). تجدر الإشارة إلى أن مستويات التعبير عن Nhe3 كانت أقل في الكلى من الفئران المعالجة بالمركبة cKOt مقارنةً بعناصر التحكم المعالجة بالمركبة (الشكل 4 د والجدول التكميلي S4).
نقاش
ثبت جيدًا أن الخلل الوظيفي فيالساعة اليوميةآلية أو اختلال بين الساعة البيولوجية والإشارات الاجتماعية والبيئية الناتجة (على سبيل المثال ، من خلال العمل بنظام الورديات) ، وإدمان الكمبيوتر / الإنترنت ، واضطراب السفر المتكرر ، أو اضطرابات النوم ، هي عوامل خطر رئيسية للإمراض و / أو تطور مجموعة متنوعة من الأمراض المزمنة. ومع ذلك ، لم يتم التحقيق على نطاق واسع في إسهام الساعات البيولوجية المحلية الجوهرية في الأنسجة مقابل إشارات الساعة البيولوجية النظامية إلى عمليات فيزيولوجية مرضية محددة. افترضنا أن الاضطرابات في الساعات البيولوجية الكلوية الجوهرية قد تساهم في تطور DN و / أو ارتفاع السكر في الدم السكري. لاختبار هذه الفرضيات ، استخدمنا نموذجين للماوس (أي الفئران cKOp و cKOt) تم تطويرهما على خلفية جينية C57BL / 6 معروفة بأنها مقاومة نسبيًا لـ DN. في كلا النموذجين ، لم يؤد النقص في BMAL1 في حالات السكري إلى زيادة بيلة الألبومين أو اختلاف في معدل الترشيح الكبيبي ، 2 العلامات المميزة الرئيسية للمرض. يشير هذا إما إلى أن الفئران المعدلة وراثيًا على خلفية C57BL / 6 قد لا تكون نموذجًا مناسبًا لدراسة فرضية "الضربة الثانية" في DN أو أن التسبب في المرض و / أو تطور DN يتأثران بالاضطرابات اليومية النظامية بدلاً من الساعات اليومية الكلوية الداخلية. اختبار فرضية عدم التفاعل بين ارتفاع السكر في الدم السكري والكلوي الداخليالساعات اليوميةكشفت عن مسار جلوكوزوني أنبوبي كلوي معزز وفرط سكر الدم المتفاقم في الفئران المصابة بداء السكري. أشار تحليل mRNA والتعبير البروتيني إلى أن كلا من استحداث الجلوتامين والجزء الشائع من مسار تكوين الجلوكوز قد تم تعزيزهما بفئران cKOt غير المصابة بمرض السكر مقارنةً بالسيطرة على مرضى السكري. اقترحت هذه الملاحظة أن كلا من ركائز الجلوكوز الرئيسية فيالكلى(على سبيل المثال ، الجلوتامين واللاكتات) يمكن أن يسهم في تفاقم ارتفاع السكر في الدم في الفئران cKOt.
الشكل 6|درجة الحموضة في البلازما ، وبيكربونات البلازما ، وفائض قاعدة البلازما ، ودرجة حموضة البول ، و 24- ساعة من حموضة البول القابلة للمعايرة (TA) ، وإفراز الأمونيوم في المركبات أو الستربتوزوتوسين (STZ) - التحكم المعالج وفئران cKOt. ن ¼ 6-9. تم استخدام تحليل ثنائي الاتجاه للتباين مع اختبار Sidak متعدد المقارنة. * P <0. 0="" 5،="" †="" p="">0.><0. 01،="" ‡="" p="">0.><>

الكلىاكتسب استحداث السكر اهتمامًا متزايدًا في السنوات الأخيرة بسبب الدور المهم المحتمل للجلوكوز المنتج في النبيبات الكلوية في كل من التوازن الأيضي الجهازي وأمراض الكلى (تمت المراجعة سابقًا). تمثل Thekidney 40 في المائة من إجمالي إنتاج الجلوكوز في الجسم في البشر الصائمين طوال الليل.داء السكري، يزيد كل من الكبد والكلى من تخليق الجلوكوز ، ولكن الزيادة النسبية في تكوين السكر الكلوي أقوى بكثير من تلك الموجودة في الكبد. أظهرت الدراسات في الكبد أنالساعة اليوميةيمكن أن تؤثر على استحداث السكر في الكبد عبر عدةالساعة اليومية- الآليات الخلوية الخاضعة للرقابة. تشانغ وآخرون. أظهرت أن مثبطات الساعة البيولوجية الكريبتوكروم 1 و 2 تثبط التعبير عن الإنزيمات المولدة للجلوكوز عن طريق منع التنشيط المعتمد على سيليكادينوزين أحادي الفوسفات لـ CREB1.31Li وآخرون. أظهر أن NR1D1 ، الذي يشكل طرفًا سلبيًا حرجًا في الساعة اليومية الأساسية ، يمنع نسخ Pck1 و G6pc .32 كما هو متوقع لجينات الساعة البيولوجية في الفئران بالضربة القاضية Bmal1 ، أظهرت نتائجنا انتعاشًا قويًا لنصوص Cry1 / Cry2 وتنظيم قوي لـ نسخة Nr1d1 بتنسيقالكلىمن cKOtmice السكري مقارنة مع الضوابط السكري. قد تشير هذه النتائج المتناقضة إلى خصوصية الأنسجة لتنظيم تكوين السكر بواسطة عناصر الساعة الأساسية. ومن المثير للاهتمام،الكلىأظهرت الفئران المصابة بمرض السكري cKOt تحفيزًا قويًا لـ Ppard ، والذي ثبت أنه يحفز بشكل كبير تعبير Pck1 في العضلات .34 أخيرًا ، التعبير عن ترميز mRNA PGC1a ، وهو محفز مهم لـ FoxO1 ، وهو عامل نسخي يتحكم في التعبير عن الإنزيمات المولدة للجلوكوز في كل من الكلى والكبد ، زاد في الكلى لمرضى السكري cKOtmice. بشكل جماعي ، كشف تحليل النسخ الكلوية أن الفئران المصابة بمرض السكري تظهر تغيرات كبيرة في العديد من المسارات الخلوية التي تشارك في التحكم في تكوين السكر فيالكلىو / أو الأنسجة الأخرى.
تقييم الآليات المحتملة التي من خلالهاالساعة البيولوجيةساعة حائطقد يؤثر على مسار تكوين السكر في مرضى السكريالكلىكشفت عن العديد من سمات حالة قاعدة حمض الدم المعوض ، بما في ذلك زيادة إفراز البول من الأمونيوم والحموضة القابلة للمعايرة. توازي هذه الملاحظات بيانات النسخ التي أظهرت انخفاضًا في مستويات التعبير عن ترميز النص NHE3 ، وهو ناقل يلعب دورًا رئيسيًا في معالجة قاعدة حمض الأنابيب القريبة ، جنبًا إلى جنب مع زيادة تعويضية محتملة في التعبير عن الوحدة الفرعية لترميز الجين Atp6v1b1 من HþATPase المشاركة في إفراز Hþ في النيفرون البعيد. لقد تم إثبات التحكم المباشر في تعبير Nhe3 بواسطة الساعة اليومية في كل من مستويات النسخ النصي وتعبير البروتين .35 وبالتالي ، يمكن اعتبار التحمض داخل الخلايا بسبب تعبير NHE3 المتدهور أمرًا ممكنًا بسبب زيادة تكوين الجلوكوز في الخلايا الأنبوبية القريبة من الفئران. هذه النتائج موازية للنتائج التي توصل إليها Onishi et al. ، 36 الذين أظهروا أن الضربة القاضية الخاصة بالأنابيب الخاصة بـ NHE3 تؤدي إلى زيادة التعبير عن إنزيمات الجلوكوز في الكلى. قد يؤدي تحسين الجزء الشائع المحدد للمعدل من مسار تكوين الجلوكوز (Pck1 و G6pc) في ميكرو cKOt السكري إلى تفاقم التحمض داخل الخلايا عن طريق تحسين تكوين الجلوتامين ، وهي عملية التمثيل الغذائي التي تولد أيونات الهيدروجين. ومن المثير للاهتمام ، أنه تم تعديل التعبير عن Nhe3 و Glul و Glud1 و Snat3 ، بالإضافة إلى العديد من عوامل النسخ المشفرة ، أو المُنشّطات ، أو عوامل الضغط التي تتحكم في نسخ إنزيمات الجلوكوزين (Gr ، و Ppard ، و Nr1d1 ، و Cry1 ، و Cry2) بطريقة مماثلة في STZ- وفئران cKOt المعالجة بالمركبات. يشير هذا إلى أن تكوين الجلوكوز الكلوي يتم تعزيزه أيضًا في الفئران المعالجة بمركبات cKOt. في الحالات غير السكرية ، يمكن تفسير عدم وجود فرط سكر الدم في فئران KOt بشكل معقول من خلال زيادة التمثيل الغذائي لهذا الجلوكوز المركب بشكل مفرط من قبل جميع أنسجة استقلاب الجلوكوز ، بما في ذلكالكلى.
ما هي صلة هذه النتائج بالإمراضداء السكريفي البشر؟ لقد ثبت جيدًا أن إيقاع التغذية يلعب دورًا مهمًا في إدخال الساعات اليومية المحيطية. ، الكورتيكوستيرويدات 41) لها تأثير قوي على إيقاعات الساعة البيولوجية فيالكلى. تتعرض العديد من المجموعات السكانية الرئيسية بشكل دوري أو مستمر لتناول الطعام المتناوب أو المضطرب. على سبيل المثال ، يؤدي ما يصل إلى 20 في المائة إلى 25 في المائة من الموظفين في أمريكا الشمالية وأوروبا أعمال وردية ، وهو ما يرتبط بنمط تغذية متغير. في المئة إلى 8 في المئة من السكان عامة ، 43 اضطرابات النوم ، 44 أمراض الكلى المزمنة ، 45 وبعض الأدوية (مثل سيسبلاتين 46) قد ثبت أيضًا أنها تضعف بشكل كبير إيقاعات الساعة البيولوجية الكلوية. وبالتالي ، يعتقد المرء أنه في جزء كبير من مرضى السكري ، قد يزداد ارتفاع السكر في الدم سوءًا بسبب خلل في تنظيم الساعات اليومية في الأنسجة المحيطية ، بما في ذلك الجوهر.الساعات اليومية. على هذا المنوال ، أظهر عدد كبير من الدراسات ارتباطًا قويًا بين العمل بنظام الورديات وخطر الإصابة بمرض السكري (تمت المراجعة سابقًا).داء السكري.

يمكن أن يمنع Cistanche أمراض الكلى
إفشاء
أعلنت جميع المؤلفين لا المصالح المتنافسة.
شكر وتقدير
تم دعم هذا العمل من خلال منحة بحثية من مؤسسة العلوم الوطنية السويسرية 310030-188499 (إلى DF) وقد تم تقديم جزء من هذا العمل باعتباره ملخصًا للاجتماع السنوي لعام 2021 للجمعية الأمريكية لأمراض الكلى.
الكاتب الاشتراكات
صممت HAIRY و FG و DF الدراسة ؛ تجارب CA و GC و DO و YB و AG التي تم إجراؤها ؛ قامت CA و GC و DO و SP و LM و HAIY بتحليل البيانات ؛ صنعت CA و HAIY الأرقام ؛ كتب DF و HAIY مخطوطة. وافقت جميع المؤلفين النسخة النهائية من المخطوط.
المواد التكميلية
ملف تكميلي (PDF)
الشكل S1. تلطيخ كوماسي الأزرق لبروتينات البول من مركبات أورستربتوزوتوسين (STZ) للسيطرة وفئران cKOt.
الشكل S2. (أ) تلطيخ ماسون ثلاثي الألوانالكلىأقسام من المركبات أو الستربتوزوتوسين (STZ) - السيطرة المعالجة و cKOt الفئران. (ب) حمض الدوري - شيف (PAS) تلطيخ أقسام الكلى من المركبات أو الستربتوزوتوسين (STZ) - السيطرة و cKOt الفئران.
الشكل S3. تحليل اللطخة الغربية الشعرية لتعبير الجلوتامات هيدروجيناز 1 (GLUD1 ؛ A) و phosphoenolpyruvatecarboxykinase (PCK1 ؛ B) فيالكلىمن المركبات- orstreptozotocin (STZ) -السيطرة المعالجة و cKOt الفئران.
الشكل S4. تحليل اللطخة الغربية الشعرية للغلوتاماتيدروجيناز 1 (GLUD1 ؛ A) و phosphoenolpyruvatecarboxykinase (PCK1 ؛ B) التعبير في الكبد للسيطرة على مركبات orstreptozotocin (STZ) و cKOt الفئران.
الجدول S1. كيمياء البلازما في المركبات - أو الستربتوزوتوسين (STZ) - التحكم بالحقن وفئران cKOt الملفات التكميلية (Excel)
الجدول S2. النسخ: التحكم في الستربتوزوتوسين (STZ) مقابل المحلول الملحي المخزن بالفوسفات (PBS).
الجدول S3. النسخ: الضربة القاضية (KO) الستربتوزوتوسين (STZ) مقابل محلول ملحي مخزّن بالفوسفات KO (PBS).
الجدول S4. نسخة: بالضربة القاضية (KO) محلول ملحي بالفوسفات (PBS) مقابل التحكم في PBS.
الجدول S5. النسخ: خروج المغلوب (KO) الستربتوزوتوسين (STZ) مقابل التحكم في STZ.
الجدول S6. تخصيب الجينات (GO) من أجل المحلول الملحي المخزن بالفوسفات (KO) بالضربة القاضية (PBS) مقابل التحكم في PBS.
الجدول S7. تخصيب الجينات (GO) من أجل الضربة القاضية (KO) الستربتوزوتوسين (STZ) مقابل التحكم STZ.
الجدول S8. النسخ: تفاعل النمط الجيني عن طريق العلاج.
الجدول S9. تخصيب الجينات (GO) للتفاعل.
الجدول S10. إحصائيات.
المراجع
1. Vallon V. ناقلات الجلوكوز فيالكلىفي الصحة والمرض. 2020 ؛ 472: 1345-1370.
2. جيريش جي إي. دور الكلى في توازن الجلوكوز الطبيعي وفي ارتفاع السكر في الدمداء السكريmellitus: الآثار العلاجية. ديابيت ميد. 2010 ؛ 27: 136 - 142.
3. Mithieux G ، Gautier-Stein A ، Rajas F ، et al. مساهمة الأمعاء والكلى في تدفقات الجلوكوز في الحالة التغذوية المختلفة في الفئران. CompBiochem Physiol B Biochem Mol Biol. 2006 ؛ 143: 195-200.
4. Gheith O ، Farouk N ، Nampoory N ، et al. مرض الكلى السكري: الاختلاف العالمي في الانتشار وعوامل الخطر. ي إثنوفارماكول. 2016 ؛ 5:49-56.
5. فيرسوف د ، بوني يا. الإيقاعات اليومية والكلى. نات ريف نفرول. 2018 ؛ 14: 626-635.
6. Ansermet C و Centeno G و Nikolaeva S et al. الجوهرالساعة اليوميةتتحكم الخلايا الداخلية في معدل الترشيح الكبيبي. ممثل العلوم .2019 ؛ 9: 16089.
7. Stow LR ، و Richards J ، و Cheng KY ، وآخرون. تساهم فترة البروتين اليومية 1 في التحكم في ضغط الدم وتنظم بشكل متناسق جينات نقل الديدان الصوديوم. ارتفاع ضغط الدم. 2012 ؛ 59: 1151-1156.
8. Zuber AM ، Centeno G ، Pradervand S ، وآخرون. تشارك الساعة الجزيئية في التعديل التنبئي للساعة البيولوجية لوظيفة الكلى. Proc Natl Acad Sci U SA. 2009 ؛ 106: 16523–16528.
9. Nikolaeva S ، Ansermet C ، Centeno G ، وآخرون. يؤدي حذف جين الساعة البيولوجية Bmal1 الخاص بالنيفرون إلى تغيير البلازما والمستقيم الكلوي ويضعف التخلص من الأدوية. J آم سوك نفرول. 2016 ، 27: 2997-3004.
10. توكونامي ن ، مورداسيني د ، براديرفاند إس ، وآخرون. الكلى المحليةالساعات اليوميةالسيطرة على توازن السوائل بالكهرباء و BP. J آم سوك نيفرول. 2014 ؛ 25: 1430-1439.
11. موتوهاشي إتش ، طهارة واي ، ويتاكر دي إس ، وآخرون. تتعطل الساعة اليومية في الفئران المصابة باعتلال الكلية الأنبوبي الخلالي الناجم عن الأدينين.الكلىكثافة العمليات 2020 ؛ 97: 728-740.
12. تشارلز لي ، جو جي كيه ، فيكيدولين دي ، وآخرون. الارتباط بين معدل الترشيح الكبيبي والعمل بنظام المناوبة في ضباط الشرطة. J احتلال البيئة 2013 ؛ 55: 1323-1328.
13. Boogaard PJ، Cabo ME. زيادة إفراز الألبومين في العمال الصناعيين بسبب تغيير العمل بدلاً من التعرض لفترات طويلة لتركيزات منخفضة من الهيدروكربونات المكلورة. أوبل إنفيرون ميد 1994 ؛ 51: 638 - 641.
14. Kim SJ ، Kim JW ، Cho YS ، وآخرون. تأثير الاضطراب اليومي المرتبط بالضوء الاصطناعي في الليل على أنماط التبول في عمال المناوبة. إنتنيورورول ج. 2019 ؛ 23: 258-264.
15. Uhm JY ، Kim HR ، Kang GH ، et al. الارتباط بين العمل بنظام الورديات وأمراض الكلى المزمنة في العمال اليدويين باستخدام بيانات من المسح الوطني لفحص الصحة والتغذية في كوريا (KNHANES 2011-2014). آن احتلال البيئة ميد. 2018 ؛ 30:69.
16. Solocinski K ، Richards J ، All S ، وآخرون. تنظيم النسخ من NHE3 و SGLT1 بواسطةالساعة اليوميةبروتين Per1 في خلايا النبيبات القريبة. Am J Physiol Renal Physiol. 2015 ؛ 309: F933 – F942.
17. تنظيم دورة الخلية وولف جي في اعتلال الكلية السكري. ملحق الكلية الدولية 2000 ؛ 77: S59 – S66.
18. Papadimitriou A ، Silva KC ، Peixoto EB ، وآخرون. يزيد الثيوبرومين من نشاط NAD (þ) / Sirt -1 ويحمي الكلى في ظروف مرض السكري. Am J Physiol Renal Physiol. 2015 ؛ 308: F209 - F225.
19. Perlis M، Ramsey KM، Bass J. الساعة الجزيئية عبارة عن متغير أيضي. السكري السمنة ميتاب. 2015 ؛ 17 (ملحق 1): 99-105.
20. Ramanathan C ، Kathale ND ، Liu D ، et al. تنظم إشارات mTOR المركزية والطرفيةالساعة اليوميةوظيفة. بلوس جينيت. 2018 ؛ 14: e1007369.
21. Sakaguchi M ، Isono M ، Isshiki K et al. تثبيط إشارات mTOR معراباميسين يخفف من تضخم الكلى في الفئران المبكرة المصابة بداء السكري. 2006 ؛ 340: 296-301.
22. Godel M ، Hartleben B ، Herbach N ، et al. دور mTOR في وظيفة podocytefunction واعتلال الكلية السكري لدى البشر والفئران. J كلين إنفست 2011 ؛ 121: 2197-2209.
23. Lenoir O ، Jasiek M ، Henrique C ، et al. تحمي الخلايا البطانية و podocytophagy بشكل تآزري منداء السكري- التصلب الكبيبي الناجم. الالتهام الذاتي. 2015 ؛ 11: 1130-1145.
24. Lu Q و Zhou Y و Hao M وآخرون. يعزز mTOR من التأكسد الناجم عن الإجهاد للخلايا المسراق في اعتلال الكلية السكري. مول سيل إندوكرينول .2018 ، 473: 31-43.
25. تشان جي سي. التحديد السريع للحمض البولي والمونيوم القابل للمعايرة وتقييم التجميد كطريقة للحفظ. كلينبيوتشيم. 1972 ؛ 5: 94-98.
26. Eisner C ، Faulhaber-Walter R ، Wang Y ، et al. المساهمة الرئيسية للإفراز الأنبوبي لتصفية الكرياتينين في الفئران. الكلى Int. 2010 ؛ 77: 519-526.
27. ريتشي إم إي ، بيبسون بي ، وو دي ، وآخرون. تعمل limma على التحليلات التعبيرية التفاضلية لتسلسل الحمض النووي الريبي ودراسات المصفوفات الدقيقة. الأحماض النووية الدقة 2015 ؛ 43: e47.
28. Yu G ، Wang LG ، Han Y ، et al. ملف تعريف الكتلة: حزمة R لمقارنة الموضوعات البيولوجية بين مجموعات الجينات. أوميكس. 2012 ؛ 16: 284-287.
29. Gerich JE ، Meyer C ، Woerle HJ ، et al. استحداث السكر الكلوي: أهميته في توازن الجلوكوز البشري.داء السكريرعاية. 2001 ؛ 24: 382-391.
30. Legouis D، Faivre A، Cippà PE، et al. استحداث السكر الكلوي: دور غير مقدّر لـالكلىفي استقلاب الجلوكوز الجهازي [الحانة الإلكترونية قبل الطباعة]. زراعة الكلى. نُشر على الإنترنت في 28 نوفمبر 2020. https://doi.org/10.1093/ndt/gfaa302.
31. Zhang EE ، Liu Y ، Dentin R ، et al. يتوسط Cryptochrome التنظيم اليومي لإشارات cAMP وتكوين الجلوكوز الكبدي. نات ميد 2010 ؛ 16: 1152-1156.
32. Li X ، Xu M ، Wang F ، et al. تفاعل ApoA-IV مع NR4A1 و NR1D1 يضغطان على نسخ G6Pase و PEPCK: تنظيم خافض بوساطة مستقبلات نووية لتكوين السكر الكبدي في الفئران وخط خلية خلايا كبدية بشرية. بلوس واحد. 2015 ؛ 10: e0142098.
33. Weger BD ، Gobet C ، David FPA ، وآخرون. التحليل المنهجي للتعبير الجيني الإيقاعي التفاضلي للكبد بوساطة الساعة الجيركادية وإيقاعات التغذية. بروك Natl Acad Sci US A.2021 ؛ 118: e2015803118.
34. Fan W، Waizenegger W، Lin CS، et al. يعزز PPARd القدرة على الجري عن طريق الحفاظ على الجلوكوز. ميتاب الخلية. 2017 ؛ 25: 1186-1193.e1184.
35. Saifur Rohman M ، Emoto N ، Nonaka H ، وآخرون.الساعة اليوميةتنظم الجينات بشكل مباشر التعبير عن مبادل Na (þ) / H (þ) NHE3 في الكلية. الكلى Int. 2005 ؛ 67: 1410-1419.
36. Onishi A ، Fu Y ، Darshi M ، et al. تأثير ضربة قاضية خاصة بالنبيبات الكلوية لمبادل Na (þ) / H (þ) NHE3 في فئران أكيتا المصابة بداء السكري. أنا J PhysiolRenal Physiol. 2019 ؛ 317: F419 – F434.
37. Schibler U، Ripperger J، Brown SA. مذبذبات الساعة البيولوجية المحيطية في الثدييات: الوقت والطعام. إيقاعات بيول. 2003 ؛ 18: 250-260.
38. Speed JS ، Hyndman KA ، Roth K ، et al. يسبب ارتفاع الصوديوم الغذائي خلل في تزامن الساعة الجزيئية الكلوية في الفئران. أنا J Physiol RenalPhysiol. 2018 ؛ 314: F89-F98.
39. أوشي ك ، أوشيدا د ، إيتوه إن. نظام غذائي منخفض الكربوهيدرات ، عالي البروتين يؤثر على التعبير الإيقاعي لجينات الساعة التنظيمية للجلوكوز والجينات في أنسجة الفأر المحيطية. كرونوبيول عام 2012 ؛ 29: 799-809.
40. Oishi K، Uchida D، Ohkura N، et al. النظام الغذائي الكيتون يعطلالساعة اليوميةويزيد من مخاطر انحلال الفبرين عن طريق تحفيز التعبير عن مثبط منشط البلازمينوجين -1. Arterioscler Thromb Vasc Biol. 2009 ؛ 29: 1571-1577.
41. Sugino M ، Furukawa K ، Koinuma S ، et al. الاحتباس التفاضلي للساعات الطرفية في الفئران عن طريق القشرانيات السكرية والتغذية. علم الغدد الصماء 2012 ، 153: 2277 - 2286.
42. Souza RV، Sarmento RA، de Almeida JC، et al. تأثير العمل بنظام الورديات على تناول الطعام: مراجعة منهجية. سكاند جي بيئة العمل الصحية. 2019 ؛ 45: 7-21.
43. Kim Y و Park JY و Kim SB وآخرون. آثار إدمان الإنترنت على نمط الحياة والسلوك الغذائي للمراهقين الكوريين. ممارسات نوتر ريس 2010 ؛ 4: 51-57.
44. Canales MT ، Holzworth M ، Bozorgmehri S ، et al. يتغير التعبير الجيني على مدار الساعة لدى قدامى المحاربين المصابين بانقطاع النفس النومي. علم الجينوم فيزيول. 2019 ؛ 51: 77-82.
45. Egstrand S ، Olgaard K ، Lewin E. الإيقاعات اليومية لأيض المعادن في أمراض الكلى المزمنة - اضطراب العظام المعدنية. العملة Opin NephrolHypertens. 2020 ؛ 29: 367–377.
46. Cao BB ، Li D ، Xing X ، et al. تأثير سيسبلاتين على التعبير الجيني على مدار الساعة في الكبد والقلب والكلى. Biochem Biophys Res Commun.2018 ؛ 501: 593-597.
47. Schilperoort M ، Rensen PCN ، Kooijman S. حان الوقت لاستراتيجيات جديدة للتغلب على مخاطر استقلاب القلب في عمال المناوبات. اتجاهات Endocrinol Metab.2020 ؛ 31: 952-964.
