الجزء: تقييمات الفعالية العلاجية لـ G. Fruticosus على ذكور الفئران الكلوية Wistar
Mar 22, 2022
جهة الاتصال: Audrey Hu Whatsapp / hp: 0086 13880143964 البريد الإلكتروني:audrey.hu@wecistanche.com
تيلاهون ألين ، تسفاي سيساي تيسيما ، أسفاو ديبيلا وبييني بيتروس
الملخص
الخلفية: في الطب الشعبي الإثيوبي ، هناك ادعاء بأن النباتات الطبية يمكن أن تعالج تحص البول على الرغم من عدم وجود أدلة علمية كافية. كان الهدف من هذه الدراسة هو تقييم الفعالية العلاجية لمستخلصات Gomphocarpus fruticosus في الفئران المصابة بالكلوية المستحثة تجريبياً.
الطريقة: تم إحداث تحص في المسالك البولية في ذكور فئران ويستار عن طريق تغذية الإيثيلين جلايكول في مياه الشرب لمدة 28 يومًا. تم تقييم التأثيرات العلاجية بعد تناول 200 مجم / كجم من المستخلصات عن طريق الفم لمدة 15 إلى 28 يومًا. تم جمع عينات البول قبل يوم واحد من التضحية بالفئران. تم جمع عينات الدم والكبد والكلى تحت حالة التخدير في اليوم 28. كما تم تحليل البلورات في البول بواسطة الفحص المجهري الضوئي.
نتائج:غ. فروتيكوسوسقلل مستخلص EtOAc بشكل كبير من مستوى الصوديوم (P.<0.001), whereas="" it="" was="" significantly="" elevated="" the="" levels="" of="" magnesium="" and="" citrate="">0.001),><0.01)compared to="" lithiatic="" control.="">0.01)compared>غ. فروتيكوسوسخفض مستخلص بوه مستويات البوتاسيوم (P.<0.01), calcium,="" and="" phosphate="" in="" urolithiatic="" rats.="" it="" was="" also="" observed="" that="">0.01),>غ. فروتيكوسوسيقلل مستخلص EtOAc من مستوى الأوكسالات في البول (P.<0.001), whereas="" it="" was="" increased="" the="" levels="" of="" magnesium="">0.001),><0.05) and="" citrate="">0.05)><0.01) in="" serum="" analysis="" after="" exposure="" to="" buoh="" extract.="" in="" the="" kidneys,="" caox="" crystal="" deposits="" were="" reduced="" significantly="" by="">0.01)>غ. فروتيكوسوساستخراج EtOAc (ص<>
الخلاصة: لقد لوحظ أنغ. فروتيكوسوسكان مستخلص EtOAc فعالا في علاج تحص بولي. ومع ذلك ، هناك حاجة إلى مزيد من الدراسة لتقييم فعالية المركبات النشطة ضد تحص بولي. الكلمات المفتاحية: الفعالية ، Gomphocarpus fruticosus ، في الجسم الحي ، تحص بولي
انقر هنا للجزء Ⅰ Ⅱ
نتائج
الفعالية العلاجية لمستخلصات G. fruticosus
في الدراسات العلاجية (العلاجية) ، كانت جرعة المستخلص المختار 2 0 0 ملغم / كغم من وزن الجسم للفئران ، وهو ما يعادل عُشر الجرعة القصوى المسموح بها البالغة 2000 ملغم / كغم من وزن الجسم [32]. تم اختيار هذا بناءً على دراسات السمية الحادة و / أو شبه الحادة السابقة التي كشفت عن سلامتها حتى جرعة 2000 مجم / كجم. تم تأكيد تحريض حصوات الكلى عن طريق إعطاء 0.75 في المائة من EG مع كلوريد الأمونيوم (1 في المائة) في مياه الشرب في فئران ويستار.
تحليل البول (24 ساعة) بالميكروسكوب
أظهر تحليل عينات البول اختلافات في كثافة الكريستال وحجمه. بين الغ. فروتيكوسوسمستخلصات المذيبات المتعاقبة ،غ. فروتيكوسوسمقتطفات EtOAc (الشكل 1 ك) وغ. فروتيكوسوسكما قللت مستخلصات BuOH (الشكل 1 ل) من أعداد وأحجام البلورات (الشكل 1).



الشكل 1 الصور المجهرية للبول لبلورات CaOx بعد العلاج العلاجي بجرعة 200 مجم / كجم من المستخلصات.يتم عرض مورفولوجيا بلورات أكسالات الكالسيوم وعددها تحت المجهر الضوئي (40x) ، في بول الصباح من ذكور جرذان Wistar وهو عنصر تحكم / مركبة عادية ؛ (ب) التحكم الليثياتي ؛ العلاج بسيترات البوتاسيوم (K-Cit) ؛ د كيسون. أناغ. فروتيكوسوسمستخلص PET يغ. فروتيكوسوسشل. مقتطف؛ كغ. فروتيكوسوساستخراج EtOAc. لغ. فروتيكوسوساستخراج بووه ومغ. فروتيكوسوسجزء مائي.
تحليل البول والمصل للشوارد وفحص وظائف الكلى
في الفئران التجريبية ،غ. فروتيكوسوسقلل مستخلص EtOAc من مستوى الصوديوم بشكل ملحوظ مقارنة بالتحكم الصخري (P.<0.001). the="" level="" of="" potassium="" was="" reduced="" by="">0.001).>غ. فروتيكوسوسمستخلص بوه (ص<0.010). treatment="" with="" the="" aqueous="" extract="" of="" etoac="" and="" buoh="" extracts="" of="">0.010).>غ. فروتيكوسوسأظهر انخفاضًا كبيرًا في إفرازات البروتين البولي (P.<0.011) in="" relation="" to="" lithiatic="" control.="" sodium="" concentration="" was="" also="" reduced="" very="" significantly="" with="" the="" treatment="" of="" etoac="" extract="" of="">0.011)>غ. فروتيكوسوس (P<0.001). treatment="" by="" the="" extract="" of="">0.001).>غ. فروتيكوسوسخفض BuOH مستوى حمض البوليك مقارنة بالمجموعة الصخرية (P.<0.050). however,="" lithogenic="" induction="" may="" cause="" impairments="" of="" renal="" function="" as="" evidenced="" by="" raising="" the="" levels="" of="" creatinine,="" proteins,="" and="" uric="" acids.="" in="" the="" serum="" analysis,="" the="" level="" of="" potassium="" was="" reduced="" by="">0.050).>غ. فروتيكوسوساستخراج EtOAc بالمقارنة مع التحكم الصخري (ص<0.010). it="" was="" also="" found="" that="" the="" effects="" of="">0.010).>غ. فروتيكوسوسكان مستخلص BuOH على مستوى الكلوريد قريبًا من التحكم الطبيعي. تم رفع مستوى الكرياتينين بمقدارغ. فروتيكوسوسمستخلص خام ومستخلص PET (ص<0.01)compared to="" the="" normal="" control="" (table="">0.01)compared>

cistanche tubulosa
الجدول 2 إفرازات بولية (24 ساعة) وتحليل مصل للكهارل المكونة لحصوات الكلى وعلامات وظائف الكلى في ذكور فئران Wistar التجريبية التي تمت معالجتها بمستخلصات نباتية مختارة بجرعة 200 مجم / كجم في اليوم الثامن والعشرين من العلاج.المستخلص المختلط {0} مزيج من خلاصات A. Aspera و S. punctata و R. abyssinicus (نسبة 1: 1: 1) ، مائي (aq.) ، إيثيل أسيتات (EtOAc) ، بوتانول (BuOH) ، والكلوروفورم (Chl) ، والأثير البترولي (PET). تم تقديم البيانات بمتوسط ± SD لـ 6 فئران في كل مجموعة (ن=6). تم إجراء مقارنات بين الوسائل مقابل المجموعة الأولى (التحكم في السيارة) والمجموعة الثانية (التحكم الصخري). * p <0. {{1="" 0}}="" 5،="" **="" p="">0.><0. 0="" 1،="" ***="" p="">0.><0.001 تشير="" إلى="" تغييرات="" مهمة="" مقارنة="" مع="" المجموعة="" الأولى="" (التحكم="" في="" السيارة)="" ،="" #p="">0.001><0.05 ،="" ##="" p="">0.05><0.01 ،="" ###="" p="">0.01><0.001 تشير="" إلى="" تغيير="" كبير="" مقارنة="" بالمجموعة="" الثانية="" (التحكم="">0.001>

تحليل البول والمصل لمثبطات تكوين البلورات ومحفزاته
كما هو مبين في الجدول 3 ، ارتفع مستوى المغنيسيوم بشكل ملحوظ عن طريق مكملاتغ. فروتيكوسوسمستخلص EtOAc مقارنة بالتحكم الصخري (ص<0.010). similar="" to="" k-cit,="" the="" effects="" of="">0.010).>غ. فروتيكوسوسزاد مستخلص EtOAc من مستوى السترات بشكل ملحوظ (P.<>غ. فروتيكوسوسقلل مستخلص بووه من المستويات المرتفعة من الكالسيوم والفوسفات بشكل ملحوظ في البول مقارنةً بالمرضى (الصخريين) الضابطة (الجرذان المجموعة الأولى) (P<0.010). it="" was="" also="" observed="" that="">0.010).>G. فروتيكوسوسقلل مستخلص EtOAc من مستوى الأوكسالات في الكلين مقارنة بالتحكم الصخري (P.<0.001). in="" the="" serum="" analysis,="" the="" excretions="" of="" calcium,="" oxalate,="" and="" phosphate="" were="" grossly="" increased="" in="" lithiatic="" induced="" male="" wistar="" rats.="" the="" etoac="" extract="" of="">0.001).>غ. فروتيكوسوسزاد تركيز المغنيسيوم (ص<0.052). the="" serum="" level="" of="" citrate="" was="" increased="" after="" exposure="" to="" buoh="" extract="" of="">0.052).>غ. فروتيكوسوس(P<0.011), suggesting="" similar="" effects="" to="" potassium="">0.011),><0.001).>0.001).>غ. فروتيكوسوسشل. قلل المستخلص بشكل كبير من مستوى معدل cit مقارنةً بالسيطرة العادية (P.<0.001)(table>0.001)(table>
الجدول 3 تأثيرات المستخلصات النباتية بجرعة 200 مجم / كجم على التغيرات في إفراز البول (24 ساعة) ومثبطات بلورات المصل ومحفزاته في ذكور فئران ويستار في اليوم الثامن والعشرين بعد العلاج.المستخلص المختلط {0} مزيج من خلاصات A. aspera و S. punctata و R. abyssinicus (بنسبة 1: 1: 1). تم تقديم البيانات على أنها متوسط ± SD لـ 6 فئران في كل مجموعة (ن=6). تم إجراء مقارنات بين الوسائل مقابل المجموعة الأولى (التحكم في السيارة) والمجموعة الثانية (التحكم الصخري). * p <0. {{1="" 0}}="" 5،="" **="" p="">0.><0. 0="" 1="" ،="" ***="" p="">0.><0.001 تشير="" إلى="" تغييرات="" مهمة="" مقارنةً="" بـ="" المجموعة="" الأولى="" (التحكم="" في="" السيارة)="" ،="" #p="">0.001><0.05 ،="" ##="" p="">0.05><0.01 ،="" ###="" p="">0.01><0.001 تشير="" إلى="" تغييرات="" مهمة="" مقارنة="" بالمجموعة="" الثانية="" (التحكم="">0.001>

زاد مستوى مصل ألانين aminotransferase (ALT) ، و aspartate aminotransferase (AST) في التحكم الصخري مقارنة بالتحكم الطبيعي (الصحي) (P<0.050).>0.050).>غ. فروتيكوسوسزاد مستخلص PET من مستوى AST في الدم بشكل ملحوظ (P.<0.001)compared to="" the="" healthy="" control.="" buoh="" extract="" of="" g.fruticosus="" lowered="" significantly="" the="" level="" of="" ast="" similar="" to="">0.001)compared><0.001) compared="" to="" lithiatic="" control="" (table="">0.001)>
الجدول 4 تأثيرات المستخلصات النباتية على نشاط إنزيم المصل فيما يتعلق بمعالجة حصوات الكلى بجرعة مستخلص 200 مجم / كجم في اليوم الثامن والعشرين بعد العلاج.المستخلص المختلط {0} مزيج من خلاصات A. aspera و S. punctata و R. abyssinicus (بنسبة 1: 1: 1). تم تقديم البيانات على أنها متوسط ± SD لـ 6 فئران في كل مجموعة (ن=6). تم إجراء مقارنات بين الوسائل مقابل المجموعة الأولى (التحكم في السيارة) والمجموعة الثانية (التحكم الصخري). * p <0. {{1="" 0}}="" 5،="" **="" p="">0.><0. 0="" 1،="" ***="" p="">0.><0.001 تشير="" إلى="" تغييرات="" مهمة="" مقارنة="" مع="" المجموعة="" الأولى="" (التحكم="" في="" السيارة)="" ،="" #p="">0.001><0.05 ،="" ##="" p="">0.05><0.01 ،="" ###="" p="">0.01><0.001 تشير="" إلى="" تغييرات="" مهمة="" مقارنة="" بالمجموعة="" الثانية="" (التحكم="">0.001>

تحليل تجانس الكلى
تمت زيادة تراكيز الكالسيوم والفوسفور ومستويات الأكسالات في المجموعة الصخرية (المجموعة الثانية) مقارنة بالمجموعة الضابطة العادية (المجموعة الأولى). أظهرت جميع المعالجات انخفاضًا معنويًا في مستوى الفوسفات (P.<0.050), except="" treatment="" with="" buoh="" and="" chl.="" extracts="" of="" g.fruticosus.="" the="" administration="" of="" the="" aqueous="" mixed="" extract="" and="">0.050),>غ. فروتيكوسوسقلل مستخلص EtOAc من مستوى الأوكسالات بشكل كبير مقارنة بالمجموعات الصخرية غير المعالجة (P.<0.011)(table>0.011)(table>
الجدول 5 تأثير المستخلصات النباتية على مكونات متجانسة الكلى من الفوسفات والأكسالات والكالسيوم بعد إدارة الاختبار العلاجي في اليوم الثامن والعشرين بجرعة 200 مجم / كجم.المستخلص المختلط {0} مزيج من خلاصات A. aspera و S. punctata و R. abyssinicus (بنسبة 1: 1: 1). تم تقديم البيانات على أنها متوسط ± SD لـ 6 فئران في كل مجموعة (ن=6). تم إجراء مقارنات بين الوسائل مقابل المجموعة الأولى (التحكم في السيارة) والمجموعة الثانية (التحكم الصخري). * p <0. {{1="" 0}}="" 5،="" **="" p="">0.><0. 0="" 1،="" ***="" p="">0.><0.001 تشير="" إلى="" تغييرات="" مهمة="" مقارنة="" مع="" المجموعة="" الأولى="" (التحكم="" في="" السيارة)="" ،="" #p="">0.001><0.05 ،="" ##="" p="">0.05><0.01 ،="" ###="" p="">0.01><0.001 تشير="" إلى="" تغييرات="" مهمة="" مقارنة="" بالمجموعة="" الثانية="" (التحكم="">0.001>

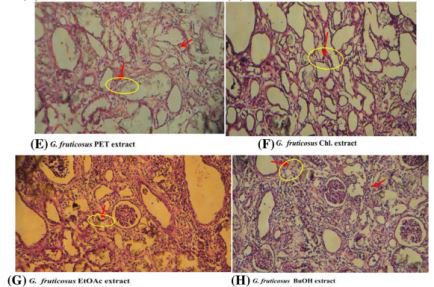
تقييم الكلى ضد الترسبات البلورية CaOx أظهر الفحص المجهري الخفيف لبلورات CaOx في المقاطع النسيجية للكلية وجود بلورات CaOx في التجويف الأنبوبي. انخفض حجم وكمية رواسب CaOx بين المجموعات المعالجة بالمقارنة مع الضوابط الحجرية. تأثيرغ. فروتيكوسوسقلل مستخلص EtOAc (G) ، وجزئه BuOH (H) من عدد البلورات مقارنة بالتحكم الصخري (B) ، ولكن لا يقلل من المستخلصات المائية لـغ. فروتيكوسوس(أنا) (الشكل 2).



الشكل 2 صور مجهرية ضوئية تمثيلية (100x) لأقسام الكلى من ذكور جرذان Wistar المختبرة في المستخلصات النباتية لتأثير ترسيب الكريستال CaOx (جرعة من المستخلصات 200 مجم / كجم).التشريح المرضي لأنسجة الكلى: تحكم طبيعي / مركبة ، ب التحكم الليثياتي ، العلاج باستخدام c K-Cit ، d Cystone ، eغ. فروتيكوسوسمستخلص PET ، صغ. فروتيكوسوسشل. استخراج ، زG. فروتيكوسوساستخراج EtOAc ، حغ. فروتيكوسوساستخراج بوه ، وأناغ. فروتيكوسوسعبد القدير. جزء. المستخلصات المخلوطة (مزيج من خلاصة A. aspera و S. punctata و R. abyssinicus بنسبة 1: 1: 1). بلورات CaOx متعددة الأشكال غير منتظمة في الأنابيب الكلوية (دائرة صفراء / أسهم). كانت الصور عبارة عن مقاطع بارافين بسمك 5 ميكرومتر مع صبغة الهيماتوكسيلين إيوزين.

فوائد استخراج القسطرة tubulosa: الجذور الحرة الصافية
آثار مستخلصات G.fruticosus على ترسب CaOx في الكلى
تم حساب عدد الرواسب البلورية من القشرة والنخاع والحليمة بأخذ متوسط 4 حقول مجهرية. بالمقارنة مع المجموعات الصخرية ، تم تقليل ترسبات بلورات CaOx في الكلى بشكل ملحوظG. فروتيكوسوساستخراج EtOAc ص<0.010). the="" number="" of="" crystal="" deposits="" was="" counted="" via="" a="" sagittal="" section="" or="" longitudinal="" plane="" of="" each="" renal="" tissue="" specimen="" divided="" into="" 4="" equal-sized="" regions(two="" virtual="" lines)and="" taking="" the="" mean="" of="" all="" fields(fig.="" 3).="" it="" has="" been="" noted="" that="">0.010).>غ. فروتيكوسوسكان مستخلص EtOAc هو العامل الأكثر فاعلية في علاج تحص بولي يليه مستخلص BuOH.

الشكل 3 درجات ترسيب بلورات CaOx في الدراسة العلاجية بعد العلاج بمستخلصات متتالية مختلفة من G. fruticosus (جرعة المستخلصات: 200 مجم / كجم).تم التعبير عن البيانات على أنها ± SD لعدد n {0} من الجرذان لكل مجموعة. * p <0. 0="" 5="" ،="" **="" p="">0.><0.01 ،="" و="" ***="" p="">0.01><0.001 تشير="" إلى="" تغيير="" مهم="" مقارنةً="" بالتحكم="" الليثياتي="" (مجموعة="" فرط="" أوكسالات="">0.001>

استخلاص الكستانش توبولوسا فائدة: مضاد للبكتيريا
مناقشة
تقوم الكلى بترشيح الفضلات من الدم وإفراغها في البول ، وهذا غير ممكن إذا لم تذوب النفايات تمامًا في البول ، مما يؤدي إلى تكون حصوات الكلى [59]. تتضمن عمليات التمعدن الحيوي تغييرات فيزيائية كيميائية متتالية مثل التشبع الفائق ، والتنوي ، والنمو ، والتجمع ، والاحتفاظ داخل الأنابيب الكلوية [60 ، 61]. فرط أوكسالات البول هو عامل الخطر الرئيسي لتكوين حصوات الكلى من فرط كالسيوم البول [62].
تمت زيادة إفرازات الأكسالات والفوسفات والكالسيوم في البول ، بينما انخفضت مستويات المغنيسيوم والسترات في البول مقارنة بالمجموعة المعالجة بجرعة 200 مجم / كجم من وزن الجسم ، والتي كانت مماثلة للدراسات التي أبلغ عنها Lemann et al. [63] وساثيش وآخرون. [39]. يمكن أن تكون زيادة المكونات المعدنية في البول بسبب خلل في إعادة امتصاص الأنبوب الكلوي. وبالمثل ، يتم استخدام الإلكتروليتات (الصوديوم والبوتاسيوم والكلوريد) لفحص الحماض الكلوي الذي يسهل تكوينات الحصوات الكلوية [64]. في الدراسة العلاجية ، انخفض مستوى الصوديوم بشكل ملحوظغ. فروتيكوسوساستخراج EtOAc (ص<0.001).in contrast,="" previous="" studies="" reported="" that="" excessive="" excretions="" of="" sodium="" and="" chloride="" in="" the="" urine="" indicate="" the="" diuretic="" activity="" of="" the="" test="" extract="" [65,="" 66],="" with="" increasing="" urinary="" output,="" which="" inhibits="" stone="" developments="">0.001).in>
يتحد المغنيسيوم مع أيونات الأكسالات لتكوين مركبات أكسالات قابلة للذوبان في البول ويقلل من توافر الأكسال ، والذي يرتبط بالكالسيوم مما يؤدي إلى تكوين CaOx [68،69]. ومن ثم ، يمكن اقتراح أن أحجار CaOx يتشكل على الأرجح من قبل الأشخاص الذين يعانون من نقص المغنيسيوم. كان هذا مدعومًا بحقيقة أنغ. فروتيكوسوسرفع مستخلص EtOAc مستويات المغنيسيوم والسيترات (P.<0.010) similar="" to="" k-cit="" in="" the="" curative="" test.="" the="" etoac="" extract="" of="">0.010)>غ. فروتيكوسوسانخفضت مستويات الأوكسالات في البول (ص<0.001) compared="" to="" lithiatic="" control="" in="" the="" curative="" study.="" in="" the="" curative="" test,="" a="">0.001)><0.01) reduction="" in="" urinary="" levels="" of="" calcium="" and="" phosphate="" following="" g.fruticosus="" buoh="" extract="" administration="" indicates="" the="" presence="" of="" caox="" inhibitory="" constituents,="" which="" interfere="" with="" crystal="" nucleation="" and="" aggregations.="" moreover,="" an="" increase="" in="" calcium="" concentrations="" is="" a="" favoring="" environment="" for="" nucleation,="" and="" precipitation="" of="" calcium="" oxalate="" or="" calcium="" phosphate="" with="" subsequent="" crystal="" growth="" [32,39].="" similarly,="" increased="" urinary="" phosphate="" and="" oxalate="" excretions="" also="" provide="" a="" favorable="" environment="" for="" the="" formation="" of="" calcium="" phosphate,="" in="" turn,="" leading="" to="" calcium="" oxalate="" crystal="" depositions="" in="" the="" renal="" tubules="" [18,="">0.01)>
في الدراسة العلاجية ،غ. فروتيكوسوساستخراج EtOAc (ص<0.010) reduced="" serum="" levels="" of="" potassium.="" in="" addition,="" the="" effects="" of="">0.010)>غ. فروتيكوسوستم العثور على مستخلص BuOH على مستوى الكلوريد ليكون قريبًا من التحكم الطبيعي أثناء الدراسة العلاجية. انخفض مستوى الصوديوم في الدم بشكل كبيرغ. فروتيكوسوسمقتطفات بووه (ص<0.050) compared="" to="" lithiatic="" control="" in="" the="" curative="" study.="" there="" was="" a="" decrease="" in="" serum="" oxalate="" excretions="" by="" etoac="" and="" buoh="" extracts="" of="">0.050)>G. فروتيكوسوسمقارنة بالتحكم الصخري. قد يكون هذا إما بسبب مثبطات تكوين الأوكسالات ، أو التداخل مع استقلاب ox-alate. بصورة مماثلة،غ. فروتيكوسوسمقتطفات EtOAc و BuOH (ص<0.050) decreased="" calcium="" levels="" compared="" to="" lithiatic="" control="" in="" the="" curative="" test.="" the="" ability="" of="" these="" extracts="" to="" alter="" calcium="" and="" oxalate="" excretions="" may="" be="" due="" to="" the="" disintegration="" of="" mucoproteins,="" which="" are="" promoters="" of="" crystallization="" as="" reported="" by="" doddola="" et="" al.="" [34].="" in="" the="" present="" study,="" the="" level="" of="" citrate="" in="" the="" serum="" was="" increased="" by="">0.050)>غ. فروتيكوسوسمقتطفات بووه (ص<0.011), suggesting="" a="" possible="" curative="" effect="" close="" to="" k-cit="" treated="" group="">0.011),><0.001). the="" presence="" of="" tannins="" and="" flavonoids="" can="" lead="" to="" the="" relaxation="" of="" smooth="" muscles="" of="" the="" urinary="" tract,="" which="" could="" facilitate="" the="" expulsion="" of="" kidney="" stones="" as="" studied="" in="" rats="" [54],="" which="" were="" confirmed="" their="" presence="" in="" the="" phytochemical="" analysis="" of="">0.001).>غ. فروتيكوسوسمقتطفات في الدراسة الحالية. في الدراسة العلاجية الحالية ، ثبت أيضًا بوضوح أن G. فروتيكوسوسخفضت مستخلصات BuOH مستويات AST بشكل ملحوظ (P.<0.001), which="" was="" close="" to="" k-cit="" compared="" to="" the="" lithiatic="" control="" in="" the="" curative="" studies.="" this="" can="" be="" attributed="" to="" the="" fact="" that="" abnormal="" levels="" of="" liver="" enzymes,="" particularly="" aminotransferases="" including="" alanine="" aminotransferase(alt),="" and="" aspartate="" aminotransferase="" (ast)="" are="" prognostic="" features="" (indicators)of="" the="" damages="" of="" liver="" cells,="" and="" the="" cellular="" integrity="" of="" the="" kidneys="" [71,="">0.001),>
يرتبط ترسب بلورات CaOx المستحث تجريبياً في الكلى بالتهاب موضعي كما يتضح من تسلل الوحيدات والضامة إلى الموقع [73]. مستخلص G.fruticosus EtOAc (P.<0.051)and its="" buoh="" extract="">0.051)and><0.051) treated="" groups,="" the="" severity="" of="" caox="" crystal="" depositions="" reduced="" the="" kidneys="" compared="" to="" lithiatic="" control,="" which="" was="" similar="" to="" a="" study="" on="" the="" other="" herbal="" extract="" [74].="" in="" the="" curative="" study,="" etoac="" extract="" of="">0.051)>G. فروتيكوسوسخفض مستوى الفوسفات بشكل ملحوظ (ص<0.051)compared to="" the="" lithiatic="" control.="" tissue="" injury="" could="" be="" caused="" by="" exposures="" to="" phosphate="" and="" calcium="" phosphate="" crystals,="" leading="" to="" the="" generation="" of="" oxidative="" stress,="" lipid="" peroxidation,="" and="" depletion="" of="" antioxidant="" enzymes="" [75].="" consequently,="" the="" renal="" epithelial="" injury="" promotes="" crystal="" retention,="" as="" epithelial="" injury="" exposes="" a="" variety="" of="" crystal="" adhesion="" molecules="" on="" epithelial="" surfaces="" and="" promotes="" stone="" formation="" [73,="" 76].="" com="" accumulates="" in="" the="" kidneys="" by="" attaching="" to="" tubular="" cell="" membranes,="" followed="" by="" internalization="" by="" endocytosis,="" leading="" to="" cell="" death="" [75].="" the="" precipitation="" of="" oxalate="" as="" com="" in="" the="" tubular="" lumen="" has="" been="" linked="" with="" renal="" toxicity="" and="" inflammation,="" damaging="" the="" structures="" of="" mitochondria,="" inhibiting="" mitochondrial="" respiratory="" functions="" in="" proximal="" tubular="" cells,="" altering="" cellular="" permeability,="" and="" leading="" to="" renal="" cell="" death="">0.051)compared>
يتمثل أحد القيود الرئيسية للدراسة في عدم القدرة على استخدام مجهر ضوئي مستقطب يكبر ويعيد حل البلورات في الجسم الحي بشكل أفضل للتمييز بين بلورات COM و COD التي من شأنها تحسين جودة البيانات. لم يتم تقييم آثار مستخلصات الاختبار على أنشطة مدر البول. على الرغم من هذه القيود ، كانت قوة الدراسة الحالية هي استخدام التصاميم والإجراءات التجريبية القياسية لاختبار الفعالية المحتملة للنباتات الطبية التقليدية المستخدمة في الدراسة.

يمكن cistanche المضادة للالتهابات
الاستنتاجات
قدمت الدراسة الحالية بعض الأدلة على الاستخدام التقليدي لـغ. فروتيكوسوسمقتطفات في إدارة تحص بولي. أكدت الاختبارات في الجسم الحي / الحيوان الفعالية العلاجية لـغ. فروتيكوسوسالمستخلصات التي تم إثباتها من خلال النتائج البيوكيميائية والأنسجة المرضية. أظهرت النتائج الحالية الفعالية العلاجية لـ CaOx لـغ. فروتيكوسوساستخراج EtOAc. مزيد من البحث ضروري لتحديد المركبات النشطة المسؤولة عن علاج تحص بولي.
مراجع
1. Chauhan CK ، Joshi MJ ، Vaidya ADB. تثبيط نمو بلورات الستروفيت في وجود مستخلص الأعشاب وزن Commiphora. J Mater Sdi.2008 ؛ 20 (1): 85-92.
2. Buchholz NP، Abbas F، Afzal M، Khan R، Rizvil، TalatiJ. انتشار حصوات الكلى الصامتة: دراسة فحص بالموجات فوق الصوتية ، J Pak Med Assoc. 2003 ؛ 53 (1): 24-5.
3. Indridason OS، Birgisson S، Edvardsson VO، Sigvaldason H، Sigfusson N، Palsson R. وبائيات حصى الكلى في أيسلندا: دراسة مستندة إلى السكان. Scand J Urol Nephrol. 2006 ؛ 40 (3): 215-20 .https: //doiorg/10.1080/ 003 65590600589898.
4. العيسى أ ، الهنيان أ ، جوبتا ر. تحص بولي للأطفال في الكويت. إنت أورول نفرول ، 2002 ، 33 (1): 3-6. https: //doi.org/10.1023/A: 1014419830292.
5. Romero V، Akpinar H، Assimos DG. حصوات الكلى: صورة عالمية للانتشار والوقوع وعوامل الخطر المرتبطة بها. Rev Urol.2010؛ 12 (2-3): هـ 86-96.
6. Edvardsson VO، Indridason OS، Haraldsson G، Kjartansson O، Palsson R. 6. الاتجاهات الزمنية في حدوث مرض حصوات الكلى. الكلى Int. 2013 ؛ 83 (1): 146-52. https // doi.org / 10.1038 / ki.2012.320.
7. Aggarwal KP، Narula S، Kakkar M، Tandon C. تحصي الكلية: جزيئي. آلية تكوين حصوات الكلى والدور الحاسم الذي يلعبه المغيرون. كثافة العمليات BioMed. 2013 ؛ 2013: 292953 21 صفحات.
8. سينغ KB ، سايلو س. فهم علم الأوبئة والعوامل المسببة لتحص بولي: نظرة عامة. Sci Vis. 2013 ؛ 13 (4): 169-74.
9. Chhiber N، Sharma M، Kaur T، Singla S. المعدنية في الصحة وآلية تكوين حصوات الكلى. IntJPharm Sci Invent. 2014 ؛ 3: 25-31.
10. كننغهام بي ، نوبل إتش ، المُضيف أيه كيه ، والش. حصوات الكلى: الفيزيولوجيا المرضية ، التشخيص ، والإدارة. Br J نورس. 2016 ؛ 25 (20): 1112-6. https://doi.org/10.12968/bjon.2016.25.20.1112.
11. ليسكي جي سي ، هوانغ إي ، توباك إف جي. تنظيم تقارب الخلايا الظهارية الكلوية لبلورات مونوهيدرات أكسالات الكالسيوم. أنا J Physiol Renal Physiol.2000278: 130-7.

