سلامة وجدوى تقنية جديدة للحقن الموضعي عن طريق الجلد للعلاج الخلوي الكلوي لأمراض الكلى المزمنة لمرض السكري
Mar 14, 2023
تُظهر العلاجات المبكرة بالخلايا والجينات نتائج واعدة في تحقيق نتائج علاجية إيجابية ، في المقام الأول للسرطان والحالات الوراثية ؛ ومع ذلك ، هناك نقص في الخيارات العلاجية لفشل الأعضاء المزمن ، مثل مرض الكلى المزمن (CKD) .1،2 CKD يمثل أزمة صحية عالمية متزايدة ، ومن المتوقع أن تؤثر على أكثر من 250 مليون شخص مصاب بمرض السكري من النوع 2 باعتباره السبب الرئيسي في أكثر من 40 في المائة من السكان المختارين والسبب الرئيسي لمرض الكلى في المرحلة النهائية
معظم علاجات CKD هي أدوية جزيئات صغيرة تستهدف مسارًا كيميائيًا حيويًا أو مُعدِّل إنزيم في إطار كلوي تالف. على النقيض من ذلك ، توفر علاجات خلايا CKD السريرية المبكرة والمبكرة إمكانية استعادة وإصلاح الوحدة الأنبوبية الكبيبية لتحسين وظيفة الكلى الجوهرية وتقليل الأمراض المصاحبة الثانوية. عن طريق الحقن في الوريد ، ومع ذلك فإن احتمالية حدوث تأثيرات ميكانيكية غير متوقعة ثانوية لتخفيف الدورة الدموية الجهازي وحبس الدم. علاوة على ذلك ، في الكلى المصابة بداء السكري ، يمكن أيضًا إضعاف توصيل الخلايا الوريدية بسبب التليف الأساسي وأمراض الأوعية الدموية الدقيقة.
طريقة بديلة لإيصال الخلايا هي الحقن الموضعي مباشرة في الكلية المريضة. تم إجراء الحقن المباشر للخلايا مع أمراض الكبد المزمنة ، ومؤخراً ، عن طريق توصيل شغاف القلب في تجارب قصور القلب ، في حين أن هناك تقارير محدودة عن الحقن المباشر للخلايا في الكلى مع CKD.7-9 ، S1 وصفنا تقنية جديدة وأولية الملاحظات المتعلقة بسلامة الحقن وجدوى التسليم الدقيق للأسلاف الكلوية الذاتية المتجانسة في القشرة الكلوية للمرضى المصابين بالسكري من النوع 2 CKD.
مرض السكري هو مرض أيضي يشير إلى ارتفاع السكر في الدم الناجم عن عدم كفاية إفراز الأنسولين أو مقاومة الأنسولين. أثناء عملية الهضم والتمثيل الغذائي للإنسان ، يتحلل الطعام إلى سكر ومواد طاقة أخرى ، يتم امتصاص السكر منها في الدم ، وينظم الأنسولين عملية التمثيل الغذائي له. في مرضى السكري ، بسبب عدم كفاية إفراز الأنسولين أو عدم قدرة الأنسولين على العمل ، لا يمكن استقلاب السكر في الدم بشكل فعال ، مما يؤدي إلى ارتفاع مستويات السكر في الدم. في البحث ، هناك شيء يسمى Cistanche يمكن أن يساعد بشكل فعال في تخفيف أعراض مرضى السكري المعتدل. وذلك لأن المكونات الموجودة في Cistanche يمكن أن تزيد من إفراز الأنسولين وتزيد من محتوى الأنسولين في الجسم ، وبالتالي تسريع عملية التمثيل الغذائي لسكر الدم وخفض مستويات السكر في الدم. بالإضافة إلى ذلك ، يمكن أن تعزز القشرة أيضًا وظيفة التمثيل الغذائي للكبد والكلى ، وتساعد على إزالة الفضلات والسموم من الجسم ، وبالتالي تقليل أعراض مرضى السكري.

انقر فوق cistanche violacea المنتج
طُرق
بين تشرين الأول (أكتوبر) 2017 ونوفمبر (تشرين الثاني) 2020 ، تم تحليل 87 حقنة متتالية مباشرة للخلايا الذاتية المتماثلة المتنيّة باستخدام نظام إبرة محورية قياس 20 / 25- في 51 مريضًا مسجلاً من تجربتين من المرحلتين الثانية (RMCL -002 [NCT02836574] و REGEN -003 [NCT03270956]) بمراحل CKD السكري من النوع 2 3-4 الذي استوفى معايير الأهلية (انظر المواد التكميلية). كانت معدلات الترشيح الكبيبي المقدرة (eGFR) للمرضى المسجلين 20 إلى 50 مل / دقيقة لكل 1.73 م 2 (RMCL -002) و 14 إلى 20 مل / دقيقة لكل 1.73 م 2 (REGEN -003). كانت النسبة الدولية الموحدة لجميع المرضى المسجلين أقل من 1.5. بعد أخذ خزعة من الكلى عن طريق الجلد من كل مريض وتوسع الخلية بواسطة Good Manufacturing Practice ، تمت صياغة الخلايا السلفية في تركيز هيدروجيل قابل للحرارة يبلغ 100106 خلية / مل وأعيد حقنها في الكلية المأخوذة من الخزعة بعد 6 أسابيع.
تم قياس حجم الكلى على التصوير بالرنين المغناطيسي لتحديد جرعة الخلية (3-8 مل). تم إجراء حقن الخلية باستخدام توجيه التصوير المقطعي (CT). تم إدخال إبرة توجيهية خارجية بمعيار محوري 20- (COOK، Inc، Bloomington، Indiana) في الحمة تحت المحفظة للقطب السفلي للكلية التي تم خزعةها سابقًا ، و 25- إبرة الحقن الداخلية للمقياس ({{ 4}}. قطر 51 مم ، IMD Inc ، هانتسفيل ، يوتا) في القشرة الكلوية ، في حدود 5 مم من الكبسولة (الشكل 1). بالنسبة للمرضى الذين تم حقنتهم لاحقًا ، تم إجراء العملية في نفس الكلية لمدة 6 أشهر. تم تنفيذ جميع الإجراءات من قبل أخصائيي الأشعة التداخلية ذوي الخبرة الذين تلقوا التدريب والمراقبة في الموقع. خضع المرضى للتخدير الواعي وخرجوا من وحدة الجراحة النهارية بعد الشفاء.
يتطلب البروتوكول إجراء كيمياء الهيموغلوبين والهيماتوكريت والكلى قبل الحقن وبعده. تم إجراء مسح مقطعي متقطع داخل الإجراء ونهايته لتوجيه الحقن وتقييم النزيف. تم إجراء التصوير بالموجات فوق الصوتية للكلية خلال فترة النقاهة بعد الحقن وفي اليوم الأول بعد العملية لتقييم الورم الدموي. أيضا ، امتنع المرضى مؤقتا عن الأدوية المضادة لتخثر الدم والأدوية المضادة للصفيحات. كانت نقاط النهاية الأولية هي التغييرات في معدل eGFR والمضاعفات المتعلقة بالحقن والمنتج الخلوي. تم تعريف النزيف الكلوي الكبير على أنه تلك التي تتطلب نقل الدم ، أو الاستشفاء الممتد ، أو إجراء تدخلي. تم إجراء التحليلات الإحصائية باستخدام R (4. 0. 5 ، R Core Team ، 2021 ، فيينا ، النمسا).

نتائج
تضمن هذا التحليل 87 حقنة خلية في 51 مريضا (الجدول 1). تم إكمال تسعة وستين حقنة في 41 مريضًا و 18 حقنة في 1 {{2 {23}}} مريض يعانون من معدلات eGFRs 2 0 إلى 5 0 مل / دقيقة لكل 1.73 م 2 (RMCL {{12) }}) و 14 إلى 2 0 مل / دقيقة لكل 1.73 م 2 (REGEN -003) ، على التوالي. ظل جميع المرضى مستقرين ديناميكيًا طوال العملية. كانت جميع الحقن الموضعية في القشرة الكلوية ناجحة من الناحية الفنية ، ووثقت الأشعة المقطعية مواقع الإبرة النهائية في القشرة الكلوية تحت المحفظة (الشكل 1). لا توجد فروق ذات دلالة إحصائية في الهيموجلوبين (P ¼ 0. 3 [RMCL -002 ، الحقن الأول] ، P ¼ 0. 2 [RMCL -002 ، الحقن الثاني] ، P ¼ 0. 2 [REGEN -003 ، الحقن الأول] ، P 0.14 [REGEN -003 ، الحقن الثاني]) والهيماتوكريت (P ¼ 0.2 [RMCL002 ، الحقن الأول] ، P ¼ 0.3 [RMCL -002 ، الحقن الثاني] ، P 0.3 [REGEN -003 ، الحقن الأول] ، P> 0.9 [REGEN -003 ، الحقن الثاني]) بين الخلية السابقة واللاحقة الحقن (الجدول 2). الاختلافات في الكرياتينين ، نيتروجين اليوريا في الدم ، و eGFR لم تكن كبيرة أيضًا (الجدول 2 ، الشكل 2). لم يكن هناك أي نزيف متعلق بالإجراء أو تسرب للخلايا موثق أثناء الحقن الموجه بالتصوير المقطعي المحوسب. ومع ذلك ، فإن الورم الدموي المتأخر تحت المحفظة الذي يتطلب دخول المستشفى دون نقل الدم كان موجودًا في الموجات فوق الصوتية بعد الحقن في مريضة (1/1 بالمائة [1 من 87 مريضًا]) مع معدل الترشيح الكبيبي من 15 مل / دقيقة لكل 1.73 م 2 (REGEN {{59) }}).

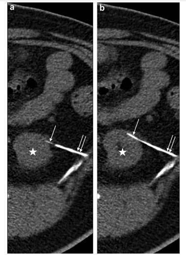
الشكل 1. تُظهر الصور المحورية للتصوير المقطعي المحوسب ذات الإسقاط الأقصى للشدة المائلة 49- ذكرًا يبلغ من العمر 49- عامًا مصابًا بداء السكري من النوع 2 ومرض كلوي مزمن يخضع لحقن الخلايا السلفية الكلوية الذاتية المتجانسة في القشرة الكلوية اليسرى. (أ) يتم وضع إبرة توجيه خارجية قياس 20- محورية (أسهم مزدوجة) في قشرة الكلية اليسرى (نجمة) ، وإبرة داخلية قياس 25- (سهم واحد) متطورة داخل المحفظة تحت المحفظة حمة. (ب) تم إدخال 25- الإبرة الداخلية G (السهم الفردي) بشكل أكبر من خلال 20- الإبرة الخارجية G (الأسهم المزدوجة) في القشرة ، مع وضع الطرف على بعد 5 مم تقريبًا من كبسولة اليسار يتم حقن الكلى (النجمية) والخلايا السلفية الكلوية الذاتية المتجانسة.
نتائج
تضمن هذا التحليل 87 حقنة خلية في 51 مريضا (الجدول 1). تم إكمال تسعة وستين حقنة في 41 مريضًا و 18 حقنة في 1 {{2 {23}}} مريض يعانون من معدلات eGFRs 2 0 إلى 5 0 مل / دقيقة لكل 1.73 م 2 (RMCL {{12) }}) و 14 إلى 2 0 مل / دقيقة لكل 1.73 م 2 (REGEN -003) ، على التوالي. ظل جميع المرضى مستقرين ديناميكيًا طوال العملية. كانت جميع الحقن الموضعية في القشرة الكلوية ناجحة من الناحية الفنية ، ووثقت الأشعة المقطعية مواقع الإبرة النهائية في القشرة الكلوية تحت المحفظة (الشكل 1). لا توجد فروق ذات دلالة إحصائية في الهيموجلوبين (P ¼ 0. 3 [RMCL -002 ، الحقن الأول] ، P ¼ 0. 2 [RMCL -002 ، الحقن الثاني] ، P ¼ 0. 2 [REGEN -003 ، الحقن الأول] ، P 0.14 [REGEN -003 ، الحقن الثاني]) والهيماتوكريت (P ¼ 0.2 [RMCL002 ، الحقن الأول] ، P ¼ 0.3 [RMCL -002 ، الحقن الثاني] ، P 0.3 [REGEN -003 ، الحقن الأول] ، P> 0.9 [REGEN -003 ، الحقن الثاني]) بين الخلية السابقة واللاحقة الحقن (الجدول 2). الاختلافات في الكرياتينين ، نيتروجين اليوريا في الدم ، و eGFR لم تكن كبيرة أيضًا (الجدول 2 ، الشكل 2). لم يكن هناك أي نزيف متعلق بالإجراء أو تسرب للخلايا موثق أثناء الحقن الموجه بالتصوير المقطعي المحوسب. ومع ذلك ، فإن الورم الدموي المتأخر تحت المحفظة الذي يتطلب دخول المستشفى دون نقل الدم كان موجودًا في الموجات فوق الصوتية بعد الحقن في مريضة (1/1 بالمائة [1 من 87 مريضًا]) مع معدل الترشيح الكبيبي من 15 مل / دقيقة لكل 1.73 م 2 (REGEN {{59) }}).

مناقشة
نقدم نتائج حول سلامة وجدوى طريقة توصيل دقيقة محلية جديدة للعلاج المستند إلى الخلايا حاليًا في المرحلة الثانية من التجارب السريرية. العلاجات القائمة على الخلايا هي تصنيف سريع النمو لمنتجات العلاج الطبي المتقدمة ، وقد أظهرت هذه العلاجات نتائج سريرية مشجعة ، وعلى الأخص في علاج السرطانات الدموية. أكثر طرق توصيل المنتجات الخلوية شيوعًا هي الحقن في الوريد مع الاستخدام الناشئ لتقنيات ترسيب الأنسجة المباشر في الحالات الحميدة (على سبيل المثال ، مؤشرات العظام والجلدية والقلب).
تجارب المرحلة المبكرة جارية باستخدام العلاج بالحقن داخل الأوعية بالخلايا الجذعية الوسيطة من أجل تجديد CKD ، على الرغم من أن موثوقية تأثيرات إفراز الخلية على الخلايا المستهدفة غير معروفة. يؤدي مرض الأوعية الدموية الدقيقة السكري ، وتخفيف إعادة الدوران الجهازي ، وحبس الرئة إلى إضعاف كمية الخلايا في بيئة الأنابيب الكبيبية ، مما يقلل من الفعالية ودقة الجرعة عن طريق الحقن في الوريد.
أثبتت الإجراءات الجلدية الموجه بالتصوير المقطعي المحوسب جدواها وأمانها للعديد من المؤشرات ولكنها تظل غير موصوفة في التسليم المحلي للعلاجات الخلوية لعلاج مرض الكلى المزمن. القشرة الكلوية للقطب السفلي. على الرغم من عيار إبرة الحقن الصغيرة ، فإن إعادة بناء الصورة المقطعية من 1 إلى 5 مم تسمح بالتحقق من طرف الإبرة داخل القشرة الكلوية الرقيقة أثناء كل حقنة مع السماح بمراقبة السلامة في الوقت الحقيقي لتطور الورم الدموي. الفيزيولوجيا المرضية الكلوية والأمراض المصاحبة ذات الصلة من CKD السكري من النوع 2 في المرحلة 3/4 من النوع 2 ، فقر الدم بشكل أساسي ، ومرحلة eGFR الأعلى ، والإناث ، هي عوامل خطر لزيادة النزيف أثناء التدخلات عن طريق الجلد. ، مع نطاقات واسعة بسبب عدم تجانس المرض ، وتقنيات الخزعة ، وحالة المستشفى.
على الرغم من عدم نشر أي مضاعفات خاصة بتدخل تجربتنا ، إلا أن الخزعة عن طريق الجلد لمرض الكلى الطبي وكتل الورم يمكن أن توفر معيارًا لتقريب المخاطر. أبلغ Poggio et al.S1 0 عن 11 بالمائة (نطاق ، 9 بالمائة إلى 16 بالمائة) معدل من الورم الدموي باعتباره أكثر المضاعفات شيوعًا لخزعة أمراض الكلى الجوهرية في المراجعة المنهجية والتحليل التلوي. في الوقت نفسه ، لوحظت علاجات أخرى مرتبطة بالمضاعفات ، مثل معدلات نقل الدم (1٪ إلى 5.7٪) ، تدخلات تصوير الأوعية (0. 2٪ إلى 0. 6٪) ، استئصال الكلية ( 0 إلى 0. 1 بالمائة) ، والموت (0 إلى 0.06 بالمائة). S8، S9، S10، S11 بين عينات الخزعة الكتلية للورم الكلوي ، كان متوسط معدلات المضاعفات الإجمالية 8.1 بالمائة (النطاق الرباعي ، 2.7 في المائة إلى 11.1 في المائة) ، مع كون الورم الدموي المحيط بالكلية هو الأكثر شيوعًا وعدد قليل من العلاجات التي تم الإبلاغ عنها تلبي درجات تعقيدات كلافيان الجراحية الأكبر من IIIa.S7 ، S12
تم التحقق من دقة النزيف المرتبط بالإجراء في دراستنا عن طريق ما قبل الحقن وبعده ، و 24- ساعة للمتابعة بالموجات فوق الصوتية مع مستويات الهيموغلوبين / الهيماتوكريت المقارنة والتصوير المقطعي المحوسب داخل الجراحة للتأكد من وجود ورم دموي تحت الإكلينيكي حاد أو مخفي. يُعزى معدل مضاعفات النزيف المنخفض البالغ 1.1 في المائة في مجموعة CKD عالية الخطورة إلى منصة الإبرة الصغيرة وإرشادات التصوير المقطعي المحوسب مقارنةً بمقياس أكبر لقطع إبر خزعة الكلى مع تمريرات متعددة.
تعد سلامة وجدوى توصيل الخلايا من العوامل الحاسمة التي تزيد من فعالية العلاجات التصالحية القائمة على الخلايا. قد يؤثر فقدان منتج الخلية أثناء التسليم على التحديد الدقيق للجرعات وتأثيرات العضو النهائي. يستخدم عدد قليل من العلاجات الخلوية المعتمدة من الجهات التنظيمية للأمراض المزمنة الحقن المباشر للأنسجة ، على الرغم من أن تجارب المرحلة الثالثة المتأخرة جارية في حالات قصور القلب المزمن مع حقن رسم الخرائط الميكانيكية لشغاف القلب لخلايا خط اللحمة المتوسطة. ممكنة مع معدلات منخفضة ومقبولة من مخاطر النزف. بالإضافة إلى ذلك ، فإن طبيعة الإجراء عن طريق الجلد ، والتدخل الجراحي البسيط مع التخدير الواعي تضيف إلى سلامة توصيل الخلايا في مجموعات CKD عالية الخطورة 3-4 مع مسارات نحو مرض الكلى في المرحلة النهائية. يوفر تقديم علاجات الخلايا الذاتية في مرض الكلى المزمن إمكانية استقرار وظائف الكلى أو تحسينها وتأخير علاجات استبدال الكلى. التجارب المستقبلية جارية.

شكر وتقدير
يشكر المؤلفون جميع المشاركين في تجربة ProKidney على تطوير علم العلاج الخلوي لمرض CKD ، والسيدة Brenda McGrath لإعداد الإحصائيات ، والدكتور Victor Silva Ritter للتحليل الإحصائي ، والدكتورة Maria Díaz-González de Ferris لمراجعة المخطوطات.

الشكل 2. مربعات قيم الاختبارات المعملية في مجموعات تجريبية RMCL -002 و REGEN -003. لا توجد فروق ذات دلالة إحصائية في الكرياتينين ومعدل الترشيح الكبيبي المقدر (eGFR) والهيماتوكريت والهيموجلوبين ونتروجين اليوريا في الدم (BUN) بين المجموعتين.
بيان الأخلاق
تم انتقاد المحاكمات بموافقة مجلس المراجعة المؤسسية والموافقة المستنيرة من المشاركين.
الكاتب الاشتراكات
قدمت HY و JMS مساهمات كبيرة في مفهوم المخطوطة ، والصياغة ، ومراجعات المحتوى ، ووافقتا على تحمل المسؤولية عن دقة بيانات النتائج وتفسيرها ووافقتا على النسخة النهائية للنشر. قام كل من PDS و PRB و MPL و FSN و GJW و CTH و RDM و RN و EMC و ACE و BST بمراجعة محتوى المخطوطة ووافقت عليه ووافق على النسخة النهائية للنشر.
إفشاء
يعمل JMS في ProKidney وهو عضو في اللجنة التنفيذية. أعلن جميع المؤلفين الآخرين عدم وجود تضارب في المصالح.

مواد تكميلية
معايير التضمين والاستبعاد التكميلية المراجع التكميلية
مراجع
1. منتجات العلاج الخلوي والجيني المعتمدة. إدارة الغذاء والدواء تم الوصول إليه في 17 يناير 2021.
2. المنتجات الطبية العلاجية المتقدمة: نظرة عامة. الوكالة الأوروبية للأدوية تم الوصول إليه في 17 يناير 2021.
3. Xie Y ، Bowe B ، Mokdad A ، وآخرون. يسلط تحليل دراسة العبء العالمي للمرض الضوء على الاتجاهات العالمية والإقليمية والوطنية لأمراض الكلى المزمنة في الفترة من 1990 إلى 2016. الكلى Int. 2018 ؛ 94: 567-581.
4. مراكز السيطرة على الأمراض والوقاية منها. المسح الوطني لفحص الصحة والتغذية ، 2013-2014. تم الوصول إليه في 17 يناير 2021.
5. Little M، Kairath P. الطب التجديدي في أمراض الكلى. الكلى Int. 2016 ؛ 90: 289-299.
6. Kelley R ، Werdin E ، Bruce A. تعمل المجموعات السكانية الفرعية المخصبة بالخلايا الأنبوبية من خلايا الكلى الأولية على تحسين البقاء على قيد الحياة وزيادة وظائف الكلى في نموذج القوارض لمرض الكلى المزمن. أنا J Physiol الكلوي Physiol. 2010 ؛ 299: F1026 – F1039.
7. Bartunek J ، Terzic A ، Davidson B ، et al. العلاج بالخلايا المكونة للقلب في حالة قصور القلب الإقفاري المتقدم: النتائج بعد 39 أسبوعًا من تجربة CHART -1 السريرية العشوائية المرتقبة والمزدوجة التعمية والتحكم فيها. يور القلب ياء 2017 ؛ 38: 648-660.
8. Forbes SJ، Gupta S، Dhawan A. العلاج الخلوي لأمراض الكبد: من الزرع إلى مصنع الخلايا. J هيباتول. 2015 ؛ 62 (ملحق 1): S157 – S169.
9. Stavas J ، Diaz-Gonzalez de Ferris M ، Johns A ، et al. بيانات البروتوكول وخط الأساس عن حقن العلاج بالخلايا الذاتية الكلوية في البالغين المصابين بمرض كلوي مزمن ثانوي للتشوهات الخلقية في الكلى والمسالك البولية. نقية الدم تم الوصول إليه في 17 يناير 2021.
هيون يو 1 ، بول د. سونتاج 2 ، بيتر آر بريم 1 ، مايكل بي لازاروفيتش 3 ، فرانسيس إس.نواكوسكي 4 ، جريجوري جيه وودهيد 5 ، تشارلز تي هينميير 5 ، رايان دي مولر 6 ، راكيش نافولوري 7 ، إيلين إم كاويلي 8 ، آرون سي إيفلر 9 ، براندون س. تومينا 10 وجوزيف إم ستافاس 11
قسم الأشعة ، جامعة نورث كارولينا في كلية الطب في تشابل هيل ، تشابل هيل ، نورث كارولينا ؛ 2 قسم الأشعة ، المركز الطبي الإقليمي سانت لوك ، بويز ، أيداهو ؛ 3 قسم الأشعة ، جامعة فلوريدا ، غينزفيل ، فلوريدا ؛ 4 قسم الأشعة ، كلية الطب Icahn في مستشفى Mount Sinai ، نيويورك ، نيويورك ؛ 5 قسم التصوير الطبي ، كلية الطب بجامعة أريزونا ، توكسون ، أريزونا ؛ 6 قسم الأشعة ، المركز الطبي بجامعة فاندربيلت ، ناشفيل ، تينيسي ؛ 7 قسم الأشعة ، جامعة شيكاغو ، شيكاغو ، إلينوي ؛ 8 قسم الأشعة ، المركز الطبي بجامعة ميشيغان ، آن أربور ، ميشيغان ؛ 9 قسم الأشعة ، كلية الطب بجامعة ويسكونسن ، ماديسون ، ويسكونسن ؛ 10 قسم الأشعة ، بريمير الأشعة ، كالامازو ، ميشيغان ؛ و 11 ProKidney وقسم الأشعة كلية الطب بجامعة Creighton ، أوماها ، نبراسكا.

مراسلة:
هيون يو ، قسم الأشعة الوعائية والتداخلية ، قسم الأشعة ، جامعة نورث كارولينا في مدرسة تشابل هيل للطب ، 2016 أولد كلينك ، كامبوس بوكس 7510 ، نورث كارولينا 27599.
مندوب الكلية الدولية (2021) 6 ، 2486-2490.
ª 2021 الجمعية الدولية لأمراض الكلى. تم النشر بواسطة Elsevier Inc. هذا مقال مفتوح الوصول بموجب ترخيص CC BYNC-ND.
الكلمات الرئيسية: العلاج بالخلايا ؛ فشل كلوي مزمن؛ التصوير المقطعي؛ تدخل؛ مرض الكلى السكري من النوع 2.
For more information:1950477648nn@gmail.com
