المناعة التآزرية والحماية في الفئران عن طريق التحصين المشترك مع لقاحات الحمض النووي التي تشفر بروتين سبايك والبروتينات الهيكلية الأخرى لـ SARS-CoV-2
Dec 18, 2023
خلاصة:أدى ظهور متغيرات جديدة من فيروس كورونا 2 المرتبط بالمتلازمة التنفسية الحادة الوخيمة (SARS CoV-2) إلى تفشي العدوى بشكل متكرر في جميع أنحاء العالم. تقلل هذه المتغيرات عالية التحور من فعالية اللقاحات الحالية لمرض فيروس كورونا 2019 (COVID-19)، والتي تم تصميمها لاستهداف البروتين الشوكي (S) للفيروس الأصلي فقط. باستثناء S لـ SARS-CoV-2، فإن إمكانات الحماية المناعية للبروتينات الهيكلية الأخرى (القفيصة النووية، N؛ الغلاف، E؛ الغشاء، M) كمستضدات مستهدفة للقاح لا تزال غير واضحة وتستحق التحقيق. في هذه الدراسة، تم تطوير لقاحات الحمض النووي الاصطناعية التي تشفر أربعة بروتينات هيكلية لـ SARS-CoV-2 (pS وpN وpE وpM)، وتم تحصين الفئران بثلاث جرعات عن طريق الحقن العضلي والثقب الكهربائي. ومن الجدير بالذكر أن التحصين المشترك مع لقاحي الحمض النووي اللذين يعبران عن بروتينات S وN قد أدى إلى ظهور أجسام مضادة تحييدية أعلى وكان أكثر فعالية في تقليل الحمل الفيروسي لـ SARS-CoV-2 من بروتين S وحده في الفئران. بالإضافة إلى ذلك، أدى التحصين المشترك لـ pS مع pN أو pE + pM إلى مناعة خلوية أعلى خاصة ببروتين S بعد ثلاث تحصينات وتسبب في تغيرات نسيجية أكثر اعتدالًا من pS وحده بعد التحدي. ينبغي دراسة دور البروتينات الهيكلية المحفوظة لـ SARS-CoV-2، بما في ذلك بروتينات N/E/M، بشكل أكبر لتطبيقاتها في تصميم اللقاحات، مثل لقاحات mRNA.

cistanche tubulosa-تحسين الجهاز المناعي
الكلمات الرئيسية: كوفيد-19؛ سارس-كوف-2; التحصين المشترك؛ لقاح الحمض النووي؛ بروتين سبايك البروتين الهيكلي
1 المقدمة
فيروس كورونا المتلازمة التنفسية الحادة الوخيمة 2 (SARS-CoV-2) هو سبب مرض فيروس كورونا 2019 (COVID-19)، والذي تسبب في ملايين الإصابات والوفيات في جميع أنحاء العالم وعرض صحة الإنسان والاقتصاد العالمي للخطر . على الرغم من أن الأساليب العلاجية الفعالة لا تزال غير متاحة، إلا أنها تطورت بسرعة، بما في ذلك تطبيق العلاج بالخلايا التائية CAR-T وتكنولوجيا النانو [1،2]. يعد التطعيم وسيلة فعالة للسيطرة على الوباء، وقد تمت الموافقة على العديد من اللقاحات للاستخدام من قبل الهيئات الصحية التنظيمية المختلفة [3،4]. يقوم جينوم الفيروس التاجي بتشفير أربعة بروتينات هيكلية رئيسية، وهي بروتينات السنبلة (S)، والقفيصة النووية (N)، والغشاء (M)، والبروتينات المغلفة (E)، المسؤولة عن تجميع الفيروس وقمع الاستجابة المناعية للمضيف [5 ]. يتكون بروتين S من 1273 بقايا حمض أميني تحتوي على وحدتين فرعيتين، هما S1 وS2. يتوسط دخول الفيروس وهو هدف رئيسي لتطوير لقاحات فيروس كورونا [6-11]. ومع ذلك، فإن بروتين SARS-CoV-2 S لديه معدل طفرة مرتفع. ليس من المستغرب أنه في SARS-CoV-2، وهو فيروس RNA، تكون الطفرة مستمرة ولا مفر منها. كانت هناك خمسة متغيرات مثيرة للقلق لـ SARS-CoV-2 (VOC) ظهرت منذ سبتمبر 2020، بما في ذلك B.1.1.7 (المملكة المتحدة، ألفا)، B.1.351 (جنوب أفريقيا، بيتا)، P.1 (البرازيل، جاما)، B.1.617.2 (الهند، دلتا)، وB.1.1.529 (جنوب أفريقيا، أوميكرون) (أندريانو ورابولي، 2021؛ غوبتا، 2021). لديهم جميعًا عدة طفرات في بروتين سبايك [12]. تهدد هذه المتغيرات فعالية لقاحات فيروس كورونا الحالية-19، والتي تم تصميمها لاستهداف البروتين الشوكي فقط.
يرتبط البروتين N الخاص بـ SARS-CoV-2 بالحمض النووي الريبي (RNA) الفيروسي من خلال 140- مجال ربط الحمض النووي الريبي (RNA) طويل الأحماض الأمينية في قلبه بطريقة "خرزة على خيط". يتم حفظه بشكل كبير بين الفيروسات التاجية، حيث يتشارك في هوية تسلسلية تصل إلى 90٪ تقريبًا مع هوية SARS-CoV، وهو أيضًا البروتين الهيكلي الوحيد داخل الفيريون [13]. بالإضافة إلى ذلك، فإنه يلعب دورًا مهمًا في تعبئة الحمض النووي الريبي الفيروسي في مركب القفيصة الريبونوكليو وهو ضروري لتكرار الحمض النووي الريبي الفيروسي، وتجميع الفيروس، وإطلاقه من الخلايا المضيفة [14]. استنادًا إلى التشابه العالي في تسلسل بروتين N في الفيروسات التاجية، قد يتم اقتراحه كهدف لقاح الحماية المتبادلة. لقد وجدنا سابقًا أن التحصين المشترك مع لقاحي الحمض النووي اللذين يعبران عن بروتينات E وM يوفر حماية جزئية ضد السارس-CoV-2، ويجب أخذ هذه الطريقة في الاعتبار أثناء تطوير اللقاح [15]. اعتمادًا على وثيقة المشهد من منظمة الصحة العالمية، هناك عادةً سبع إستراتيجيات للقاحات المرشحة للقاح السارس-CoV-2، والتي يمكن تقسيمها أيضًا إلى ثلاث فئات: أولاً، اللقاحات القائمة على البروتين، بما في ذلك لقاحات الفيروسات المعطلة، واللقاحات الشبيهة بالفيروسات الجسيمات، ولقاحات الوحدة الفرعية البروتينية؛ ثانياً، اللقاحات الجينية، بما في ذلك اللقاحات الناقلة للفيروسات، ولقاحات الحمض النووي، ولقاحات الحمض النووي الريبوزي المرسال؛ ثالثا، مزيج من النهج القائم على البروتين والجينات، مثل لقاحات الفيروسات الحية الموهنة. يمكن لتقنيات الحمض النووي، باعتبارها إستراتيجيات لقاحات جديدة قائمة على الجينات، أن تقارن بسرعة بين مرشحي واستراتيجيات اللقاحات المتعددة أثناء الاختبارات قبل السريرية [16،17]. من الناحية النظرية، تعتبر جميع البروتينات الفيروسية تقريبًا بمثابة مناعة محتملة وأهداف للقاحات. ومع ذلك، على حد علمنا، لم يتم بعد الإبلاغ بشكل منهجي عن مناعة لقاحات الحمض النووي الاصطناعية وإمكاناتها الوقائية في تشفير بروتينات SARS-CoV-2 S والبروتينات الهيكلية الأخرى. تم تقييم أربعة لقاحات DNA التي تعبر عن بروتينات SARS-CoV-2 S وN وE وM l من حيث قدرتها المناعية وفعاليتها الوقائية في الفئران لاستكشاف التأثيرات المناعية لـ S بالاشتراك مع البروتينات الهيكلية الأخرى.
2. المواد والأساليب
2.1. الخلايا
تم استزراع خلايا Huh7.5 وخلايا الكلى الجنينية البشرية 293T عند درجة حرارة 37 درجة مئوية في جو رطب بنسبة 5% من ثاني أكسيد الكربون طوال فترة الدراسة. تم استزراع الخلايا في وسط DMEM (HyClone، Logan، UT، USA)، مع إضافة 10٪ FBS (شركة GEMINI، شنغهاي، الصين) و1٪ بنسلين ستربتومايسين (Gibco، نيويورك، نيويورك، الولايات المتحدة الأمريكية). تم التأكد من سلبية جميع خطوط الخلايا لتلوث الميكوبلازما.
2.2. بناء لقاحات الحمض النووي ترميز SARS-CoV-2 S/N/E/M
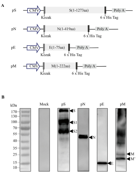
تم تصنيع جين ترميز بروتين SARS-CoV-2 S/N، الذي يحتوي على تسلسل كوزاك N-terminal (GCCACC) متبوعًا بكودون البدء (ATG)، باستخدام كودون محسّن للثدييات (GenScript Co., Nanjing ، الصين). تم بعد ذلك استنساخه في ناقل التعبير pcDNA3.1 (+) عبر عملية الهضم EcoRI وXbaI وتم تسميته pS/pN (لقاحات DNA) (الشكل 1A). تم بناء البروتين pE/PM وتحديده كما هو موضح سابقًا [15]. تم تحضير اللقاحات باستخدام مجموعات Maxiprep الخالية من السموم الداخلية (Qiagen، بكين، الصين)، وتم تأكيد التسلسلات باستخدام تسلسل الحمض النووي Sanger. تم تأكيد التعبير عن بروتين S / N باستخدام النشاف الغربي والأجسام المضادة لـ S (Sino Biological، Beijing، China) / الأجسام المضادة لـ N المخففة عند 1: 1000. أجريت هذه التجارب كما هو موضح سابقًا [15،18].

الشكل 1. تصميم والتعبير عن بنيات لقاح بروتين SARS-CoV-2 S/N المعتمد على الحمض النووي. (أ) رسم تخطيطي للقاحات المعتمدة على الحمض النووي المؤتلف والتي تشفر بروتينات SARS-CoV-2 سبايك (PS)، والقفيصة النووية (pN)، والغلاف (pE)، و/أو البروتينات الغشائية (PM). (ب) تم التحقق من صحة تعبير البروتين المستهدف في لقاحات الحمض النووي عن طريق تحليل لطخة غربية لخلايا 293T المنقولة بواسطة البلازميدات pS/pN/pE/pM.
2.3. التحصين والتحدي
تم إيواء إناث الفئران BALB/c (مختبرات تشارلز ريفر، فرنسا) في عمر 6 أسابيع في المعهد الوطني للصحة المهنية ومكافحة السموم في بيئة يتم التحكم فيها بدرجة حرارة 21 درجة مئوية ورطوبة مع دورات ضوء/ظلام مدتها 12 ساعة. وفي الوقت نفسه، تم توفير الغذاء والماء حسب الرغبة، وتمت الموافقة على جميع التجارب على الحيوانات من قبل لجنة أخلاقيات التجارب على الحيوانات التابعة للمركز الصيني لمكافحة الأمراض والوقاية منها (مركز السيطرة على الأمراض في الصين). امتثل البحث للوائح الأخلاقية ذات الصلة.
تم تقسيم الفئران عشوائيًا إلى خمس مجموعات وتم تحصينها باستخدام pS/pN بمفردها أو تم تحصينها بشكل مشترك باستخدام pS + pN أو pS + pE + PM في الأيام 0 و21 و42 عن طريق الحقن العضلي بالإضافة إلى التثقيب الكهربائي (35 مجم/50) مل) (الشكل 2) [19،20]. باختصار، تم حقن لقاحات الحمض النووي في العضلة الظنبوبية الأمامية (TA) وتم نبضها على الفور بالكهرباء باستخدام قطب كهربائي مكون من إبرتين بمسافة 5 مم (ECM830؛ BTX) مع الإبر. تم جمع الأمصال من الفئران لتحليل الاستجابة المناعية الخلطية، وتمت معالجة طحال الماوس لقياس الاستجابة المناعية الخلوية (الشكل 2).

الشكل 2. رسم تخطيطي للتحصين وتحدي السارس-CoV-2. الدورة الزمنية للتطعيم، والتحدي، وأخذ عينات من الدم / الأنسجة. تم تقسيم الفئران BALB/C بشكل عشوائي إلى مجموعات.
تم إجراء تجارب تحدي SARS-CoV-2 كما هو موضح سابقًا [15،21]. باختصار، تم تخدير الفئران ثم نقلها داخل الأنف باستخدام 2.5 × 108 PFU من Ad 5- hACE2 بحجم إجمالي قدره 45 ميكرولتر. بعد خمسة أيام من النقل، تم تخدير الفئران ثم تحديها عن طريق الأنف باستخدام 1 × 105 TCID50 من SARS-CoV-2 (Wuhan/IVDC HB-02/2019) بحجم إجمالي قدره 50 ميكرولتر من المياه المالحة. متعادل. تم إجراء جميع الأعمال المتعلقة بفيروس SARS-CoV-2 المباشر في نماذج الفئران في مختبرات المستوى 3 للسلامة الحيوية الحيوانية (ABSL-3).
2.4. انزيم مرتبط المناعي فحص
وأجريت فحوصات الامتصاص المناعي المرتبط بالإنزيم (ELISA) كما هو موضح سابقًا [15]. باختصار، تم طلاء بروتينات S (تم شراؤها من Sino Biological)/N (هدية من Song) المخففة في محلول كربونات (0.1 M، pH 9.6) على 96- ألواح EIA/RIA (الحرارية) Fisher Scientific، Waltham، MA، USA) طوال الليل عند الساعة 4 درجات مئوية. تم حجب الأطباق بـ 200 ميكرولتر من مصل الماعز 10٪ في برنامج تلفزيوني عند 37 درجة مئوية لمدة ساعتين، يليها الغسيل خمس مرات باستخدام PBST. بعد ذلك، تمت إضافة عينات المصل المخففة بشكل تسلسلي في مصل الماعز بنسبة 2٪ في برنامج تلفزيوني واحتضانها لمدة ساعتين عند 37 درجة مئوية، تليها خمس عمليات غسل باستخدام PBST. تمت إضافة IgG Ab (1: 5000) المضاد للفأر المترافق مع HRP عند 37 درجة مئوية لمدة ساعة واحدة. تمت إضافة ما مجموعه 100 ميكرولتر من الركيزة TMB إلى كل بئر وتم إخمادها بـ 50 ميكرولتر من 2M H2SO4. تمت قراءة الامتصاص عند طول موجة قدره 450 نانومتر باستخدام SPECTR Ostar Nano (BIO-GENE، هونغ كونغ، الصين).

نبات السيستانش - يعمل على زيادة جهاز المناعة
انقر هنا لعرض منتجات Cistanche Enhance Immunity
【اطلب المزيد】 البريد الإلكتروني: cindy.xue@wecistanche.com / تطبيق Whats: 0086 18599088692 / Wechat: 18599088692
2.5. عدوى الفيروس الزائف وتجارب تحييده
تم إجراء اختبار تحييد الفيروس الكاذب كما هو موضح سابقًا [21،22]. تم إنشاء بلازميد يعبر عن بروتين فيروس الأجداد S سابقًا [22]. تم تصنيع جين البروتين الشوكي المتغير Omicron SARS-CoV-2 (GISAID: EPI_ISL_6590782.2) (هدية من شركة Vazyme Biotech Co., Ltd.، نانجينغ، الصين) باستخدام كودون محسّن للثدييات واستنساخه في ناقل pcDNA3.1، كما هو موضح سابقًا [22]. باختصار، تم نقل البلازميدات التي تعبر عن مراسل لوسيفيراز والبلازميدات التي تعبر عن بروتين S إلى خلايا HEK 293T باستخدام كاشف X-treme GENE HP DNA Transfection. تم تحديث ثقافة الخلية بعد 6 ساعات من ترنسفكأيشن، وتم حصاد المادة الطافية المحتوية على الفيروس الكاذب بعد 48 ساعة وتخزينها في -70 درجة مئوية. في اختبار تحييد الفيروس الكاذب، تم بعد ذلك تحضين خليط متساوٍ من المصل والفيروس عند 37 مجلدًا من المادة الطافية المحتوية على الفيروس الكاذب ثم تمت إضافته إلى المصل المخفف. ◦ درجة مئوية لمدة ساعة واحدة. تم بعد ذلك استبدال وسائط زراعة خلايا Huh7.5 بـ 100 ميكرولتر من خليط فيروس المصل وتم تحضينها عند درجة حرارة 37 درجة مئوية لمدة 12 ساعة. تم تشغيل الخلايا المزروعة بفيروسات زائفة SARS-CoV -2 فقط بالتوازي. تم بعد ذلك استبدال الوسائط بـ DMEM (2% FBS)، وتم تحضين الحضانة عند درجة حرارة 37 درجة مئوية لمدة 48 ساعة. بعد ذلك، تم قياس إشارة لوسيفيراز باستخدام مجموعة برايت-جلو اليراع لوسيفيراز (بروميجا).
2.6. اختبار تحييد السارس-CoV-2
تم استخدام SARS-CoV-2 (Wuhan/IVDC-HB-02/2019) في هذه التجربة. باختصار، تم تخفيف الأمصال مضاعفة من تخفيف ابتدائي قدره 1:10، وخلطها بحجم متساو (10-15 وحدة بفو/جيد) من فيروس SARS-CoV الحي -2، وحضنتها لمدة ساعة واحدة عند درجة حرارة 37 درجة مئوية، وبعد ذلك تمت إضافتها إلى خلايا فيرو المصنفة. بعد الحضانة عند 37 درجة مئوية لمدة 48 ساعة، لوحظ تأثير الاعتلال الخلوي (CPE)، وتم حصاد 100 ميكرولتر من طاف الثقافة لاستخراج الحمض النووي والنسخ العكسي للفلورة في الوقت الحقيقي PCR (RT-PCR). تم حساب جرعة التعادل المتوسطة (ND50) باستخدام طريقة ريد مونش [15].
2.7. IFN- إليسبوت الفحص
تم تصنيع مجمعات الببتيد التي تغطي بروتين S/N/E/M بأكمله على شكل 15-ميرات متتالية فوق 10 أحماض أمينية بواسطة شركة Scilight Biotechnology, LLC. كان ما يقرب من 2.5 ملغ من كل الببتيد المنقى في حوض الببتيد موجودًا في كل قارورة. أجريت التجربة كما هو موضح سابقًا [18]. باختصار، 96- كانت صفائح البئر (BD ELISPOT Set، الولايات المتحدة الأمريكية) مغلفة بمضاد التقاط IFN- Ab وتم احتضانها طوال الليل عند درجة حرارة 4 درجات مئوية. تم حجب الصفائح بوسط الثقافة الكامل بعد غسلها ثلاث مرات. تم حصاد الخلايا الطحالية بعد القتل الرحيم للفئران في اليومين 35 و120، وتم طلاء معلقات الخلية المفردة الطازجة من كل مجموعة بمعدل 5 × 106 لكل بئر، وتمت إضافة الببتيدات. تم بعد ذلك تحضين الأطباق عند درجة حرارة 37 درجة مئوية في 5٪ من ثاني أكسيد الكربون لمدة 22 ساعة وتم اكتشافها باستخدام قارئ لوحة ELISpot (Biosys، So. Pasadena، CA، USA). تمثل وحدة تشكيل البقعة (SFU) بروتين IFN- الذي يفرز الخلايا التائية.
2.8. تقييم الحماية في تحدي الفئران ما بعد السارس-CoV-2.
أجريت التجارب كما هو موضح سابقًا [15،21]. باختصار، تم حصاد الرئتين بعد الموت الرحيم للفئران. تم استخدام نصف الأنسجة لاستخراج الحمض النووي، ومضان في الوقت الحقيقي RT-PCR، وTCID50. وتم إرسال النصف الآخر إلى كلية الطب البيطري بجامعة الصين الزراعية للتقييم المرضي.
2.9. تحليل احصائي
تم إجراء اختبارات t غير المقترنة، واختبارات ANOVA ثنائية الاتجاه، واختبار مقارنات Dunnett المتعددة باستخدام GraphPad Prism 7.0 (GraphPad Software LLC). تم اعتبار القيم p < 0.05 ذات دلالة إحصائية (* p < 0.05; ** p < 0.01; * ** ع <0.001؛ **** ع <0.0001).
3. النتائج
3.1. توصيف لقاحات الحمض النووي
تم اكتشاف مستويات البروتين E و M باستخدام النشاف الغربي. قمنا بقياس تعبير بروتينات S/N/E/M المشفرة لـ SARS-CoV-2 في خلايا HEK-293T المنقولة بواسطة البلازميدات pS/pN/pE/pM عبر تحليل اللطخة الغربية، باستخدام مضادات - الأجسام المضادة S/anti-N ومضاد -6 x جسمه المضاد في المحللات الخلوية. اقتربت النطاقات من الوزن الجزيئي المتوقع للبروتينات S (140–142 كيلو دالتون)، N (45 كيلو دالتون)، E (10 كيلو دالتون)، وM (22–25 كيلو دالتون) (الشكل 1B).
3.2. إنتاج قوي ومستدام لمضادات S و/أو N IgG المستحث بواسطة pS و/أو pN DNA
تم جمع مصل اللقاحات من الفئران BALB/c عند 35 و56 و96 و120 يومًا (الشكل 2). تم اكتشاف مستويات IgG المضادة لـ S/anti-N باستخدام ELISA. تمت زيادة حجم استجابة IgG الخاصة بـ S- أو N والتي يسببها pS أو pN في المصل بعد التعزيزات الأولى والثانية. كانت عيارات IgG المضادة لـ S وN أعلى في مجموعة pS + pN مما كانت عليه في المجموعات الأخرى؛ ومع ذلك، فإن الفرق لم يكن ذو دلالة إحصائية (الشكل 3A، B). لم يتم اكتشاف أي استجابات قوية للأجسام المضادة الخاصة بالبروتين E/M، وهو ما يتوافق مع نتائج دراسة سابقة (البيانات غير معروضة) [15].

الشكل 3. استجابات الخلايا البائية لـ SARS-CoV-2 في الفئران BALB/c. (A) عيار نقطة نهاية ربط IgG في المصل لبروتينات SARS-CoV-2 S (A) وN (B). (C) تم تحديد عيارات التعادل بناءً على نظام فيروس النمط الكاذب SARS-CoV-2. (د) تم تحديد عيار تحييد Anti-SARS-CoV-2 باستخدام فيروس SARS-CoV-2. (E) اختبار التحييد استنادًا إلى نظام فيروسات النمط الكاذب لـ SARS-CoV-2 Omicron. وتظهر نسب تثبيط الأمصال من مجموعات وهمية (الأزرق)، pS (أحمر)، pS + pN (الأخضر)، pS + pE + pM (الوردي)، وpN (برتقالي). تمثل أشرطة الخطأ SEM، وتم حساب القيم p باستخدام ANOVA ثنائي الاتجاه وتحليل Sidak اللاحق، حيث * p < 0.05
3.3. مستويات عالية من الأجسام المضادة المعادلة الناجمة عن التحصين المشترك مع لقاحات pS وpN
تم تحديد التتر المعادلة لعينات المصل المخففة تسلسليًا باستخدام فيروس SARS-CoV -2 ذو النمط الكاذب. وقد لوحظت أعلى مستويات الأجسام المضادة المعادلة (nAbs) في مجموعة pS + pN، مع وصول التتر الهندسي المتوسط EC5 0 إلى 2988 (في اليوم 35) و3578 (في اليوم 56) (الشكل 3C). وقد لوحظت نتائج مماثلة باستخدام مقايسة التحييد الدقيق للفيروس الحي (MN)، حيث كانت مستويات nAbs في مجموعة pS + pN أعلى من تلك الموجودة في المجموعة S في اليومين 56 و96 (p < 0.05؛ الشكل 3D). وعلاوة على ذلك، كانت مستويات nAbs في مجموعة pS + pN في اليوم 56 (الدفعة الثانية) أعلى بكثير من تلك الموجودة في اليوم 35 (p <0.05؛ الشكل ثلاثي الأبعاد).
تم تحديد النشاط المعادل لكل نظام لقاح ضد متغير SARS-CoV-2 Omicron بشكل أكبر باستخدام المنصة ذات النمط الكاذب وعينات المصل. كان ملف التحييد ضد فيروس Omicron في اليومين 35 و 56 مشابهًا لذلك ضد فيروس الأجداد (الشكل 3E)، مما يشير إلى أن علاج PS + pN كان له فعالية تحييد متقاطعة.

cistanche tubulosa-تحسين الجهاز المناعي
3.4. استجابات الخلايا التائية الناجمة عن تطعيم الحمض النووي
كما هو موضح سابقًا، تم تقدير استجابات الخلايا التائية ضد مستضدات SARS-CoV-2 S/N/E/M باستخدام IFN-ELISpot، كما هو موضح سابقًا [15]. كما هو متوقع، تسبب كل من نظامي PS + pN وpS + pE + pM في إحداث مستويات أعلى بكثير من خلايا IFN + T الخاصة ببروتين S في اليوم 120 مقارنة باليوم 35 (p < 0. 05؛ الشكل 4A). علاوة على ذلك، كان عدد خلايا IFN + T المحددة للبروتين N في اليوم 120 (الدفعة الثانية) أعلى بكثير من ذلك في اليوم 35 في مجموعة pS + pN (p <0.05؛ الشكل 4B). وأخيرا، كان عدد خلايا IFN + T المحددة للبروتين M في اليوم 120 (الدفعة الثانية) أعلى بكثير من ذلك في اليوم 35 في كلا المجموعتين (P <0.05؛ الشكل 4D).

الشكل 4. استجابات الخلايا التائية للبروتينات الهيكلية الفردية لـ SARS-CoV-2 في الفئران BALB/c. (A) تم قياس استجابات الخلايا التائية باستخدام IFN-ELISpot في الخلايا الطحالية المحفزة لمدة 20 ساعة مع تجمعات الببتيد المتداخلة الممتدة على SARS-CoV-2 S، (B) N، (C) E، و (د) البروتينات M. تمثل الأشرطة متوسط ± SD. تم إجراء التحليلات الإحصائية باستخدام اختبار ANOVA ثنائي الاتجاه واختبار Sidak اللاحق، حيث * p < 0.05, ** p < 0.01, *** p < 0.01، و **** ع <0.0001.
3.5. الحماية التآزرية الناجمة عن التحصين المشترك مع pS/pN أو pS/pE/pM
قمنا بعد ذلك بتقييم الفعالية الوقائية للقاحات الحمض النووي باستخدام فئران hACE2 المحصنة بعد التحدي بفيروس SARS-CoV-2 السلفي. بعد التحدي، أظهرت الفئران في المجموعة الوهمية فقدانًا تدريجيًا للوزن. في المقابل، أظهرت الفئران المحصنة إما بـ pS أو pS+ فقدانًا خفيفًا في الوزن مباشرة بعد الإصابة، يليه التعافي (الشكل 5A). لم يتم اكتشاف أي فيروس حي في الفئران المحصنة بـ pS أو pS + pN أو pS + pE + pM. علاوة على ذلك، فإن تطعيم pS + pN قلل بشكل كبير من أرقام نسخ الحمض النووي الريبي الفيروسي مقارنة بتلك التي تم الحصول عليها بتطعيم pS وحده (p=0.0228؛ الشكل 5B). علاوة على ذلك، أظهر التشريح المرضي للرئة أن الفئران في كل من المجموعتين الوهمية وpN أظهرت بقعًا بؤرية من الالتهاب، والغزو الجنبي، والانهيار السنخي، ومستويات عالية من تسلل الخلايا الالتهابية، والمناطق النزفية. بالمقارنة، الفئران المعالجة إما بـ pS + pN أو pS + pE + pM أظهرت تغيرات نسيجية أكثر اعتدالًا ودرجات INHAND أقل بعد التحدي من المجموعة الأخرى (الشكل 5C).

الشكل 5. الفعالية الوقائية للتحصين بعد التحدي باستخدام فيروس SARS-CoV -2 الحي. (أ) تم وزن الفئران يوميًا (متوسط ± الخطأ المعياري للوسط (SEM)، n=4) لمدة ثلاثة أيام بعد التحدي. (ب) عيار SARS-CoV-2 المعدي في متجانسات الرئة في اليوم الثالث بعد التحدي، كما هو محدد من خلال اختبار TCID5{{10}} ورقم نسخة RNA. تم تحديد فروق ذات دلالة إحصائية بين المجموعات باستخدام ANOVA أحادي الاتجاه متبوعًا بتصحيح المقارنة المتعددة لـ Dunnett (* p < 0.05، ** p < 0.01، *** p < 0.001، و **** ع <0.0001). (ج) التحليل النسيجي للرئة باستخدام تلطيخ H&E.
4. مناقشة
في هذه الدراسة، أدى التحصين المشترك مع لقاحين من الحمض النووي يعبران عن بروتينات S وN إلى إحداث مستويات عالية من nAbs وكان فعالًا للغاية في تقليل الحمل الفيروسي لـ SARS-CoV-2 في الفئران. تسببت لقاحات الحمض النووي التي تعبر عن بروتين S في زيادة مستويات المناعة الخلوية الخاصة ببروتين S بعد ثلاث تحصينات عندما تم تحصين الفئران مع بروتينات N/E وM وتخفيف التغيرات النسيجية المرضية بعد التحدي. على حد علمنا، هذا هو التقرير الأول الذي يكشف عن التعزيز التآزري للمناعة والحماية في الفئران باستخدام لقاح الحمض النووي الذي يشفر بروتين S عندما يتم تحصينها بشكل مشترك مع لقاحات الحمض النووي التي تشفر البروتينات الهيكلية الأخرى لـ SARS-CoV{{8 }}.

cistanche tubulosa-تحسين الجهاز المناعي
وقد لوحظت حلقات الخلايا البائية المناعية في مناطق المستضد N في العديد من الدراسات. عادةً لا تستطيع اللقاحات المعتمدة على N تحفيز nAbs، ويرجع ذلك على الأرجح إلى عدم ظهور البروتين N على السطح الفيروسي. والجدير بالذكر أن التحصين المشترك مع بروتينات S وN تسبب في مستويات أعلى من nAbs ضد فيروس الأجداد وفيروس Omicron SARS-CoV-2 مقارنة بالمجموعات الأخرى. ترتبط زيادة استجابات nAb بتحسين إزالة الفيروس وفعالية الحماية. أظهرت نتائجنا أن علاج pS + pN كان أكثر فعالية من علاج pS وحده في تقليل الحمل الفيروسي لـ SARS-CoV-2 بعد التحدي. ذكرت دراسة سابقة أن الهامستر المحصن بلقاح يعبر بشكل مشترك عن بروتينات M وN كان محميًا من فقدان الوزن الشديد وأمراض الرئة، وقد قلل بشكل كبير من عيار الفيروس في البلعوم الفموي والرئتين بعد تحدي السارس-CoV-2، وهو ما يتفق مع نتائجنا [23]. لسوء الحظ، لا يمكن أن يعزى الانخفاض في عيارات الفيروس على وجه التحديد إلى بروتين M أو N، ولم يتم تقييم مستويات nAb في هذه الدراسة. أفادت إحدى دراسات لقاح SARS-CoV-2 mRNA أن التحصين المشترك S + N حفز استجابة الخلايا التائية المضغوطة الخاصة بـ S8+ وتحييد نشاط الجسم المضاد، مما يوفر حماية أفضل في الرئتين ضد دلتا البديل مقارنة مع S وحده، وهو ما يتوافق مع نتائج هذه الدراسة [24]. ذكرت دراسة أخرى أن بروتين N الخاص بفيروس التهاب المعدة والأمعاء التاجي المنقول يعزز تخليق الأجسام المضادة المعادلة عندما تم تحفيز خلايا TGEV-IMMUNE الخنازير بمزيج من بروتينات S و N في المختبر، ويمكن تفسير هذا التأثير من خلال استجابة الخلايا اللمفاوية التائية المساعدة لفيروس التهاب المعدة والأمعاء التاجي. البروتين N [25].
تم تحديد حواتم الخلايا التائية CD4+/CD{1}} المناعية في مناطق المستضد N مسبقًا. أفادت العديد من الدراسات أن اللقاحات المعتمدة على بروتين SARS-CoV-2 N تحفز بشكل فعال الاستجابات المناعية الخلوية. أظهرت مجموعة S + N زيادة في مستويات المناعة الخلوية الخاصة ببروتين S بعد ثلاث تطعيمات. أفادت إحدى دراسات لقاح SARS-CoV-2 mRNA أن التوافقي S + N تسبب في زيادة استجابة الخلايا التائية CD8+ الخاصة بـ S مقارنةً بـ S وحده، وهو ما يتوافق مع نتائجنا [24]. أفادت دراسة أخرى أن استجابات الخلايا التائية لمستضدات S وN بعد التطعيم الرئيسي للمستضد المزدوج hAd5 S + N وحده كانت معادلة لتلك التي تم الحصول عليها من المرضى المصابين سابقًا بـ SARS-CoV-2-، وفي نماذج التنبؤ السيليكو للخلايا التائية اقترح ربط epitope HLA أن استجابات الخلايا التائية للقاح hAd5 S + N ستحتفظ بفعاليتها ضد البديل B.1.351. علاوة على ذلك، أظهرت البلازما من المرضى المصابين سابقًا بـ SARS-CoV-2- تقارب ارتباط أعلى للخلايا التي تعبر عن بناء المستضد المزدوج S-Fusion + N-ETSD مقارنةً بـ hAd5 S-Fusion وحده، مما يشير أيضًا إلى أن مناعة لقاح المستضد المزدوج S + N أفضل من لقاح المستضد الفردي S [26].
لم يتم اكتشاف الفيروس الحي في الرئتين، وتم تخفيف فقدان الوزن بعد التحدي في مجموعات pS وpS + pN وpS + pE + pM، في حين أن علاج pN لم يقلل بشكل فعال من عيار الفيروس. تؤكد هذه النتائج على ضرورة وفعالية بروتين S كهدف للقاح. والجدير بالذكر أن التحصين المشترك مع pS وpN كان له تأثيرات أفضل من pS أو pN على إزالة الفيروس. أشارت مجموعة pS + pE + pM إلى تغيرات نسيجية أقل في الرئتين، وهو ما يتوافق مع نتائج دراستنا السابقة [15]. كان لدى مجموعة S + N نسخ منخفضة من الحمض النووي الريبي الفيروسي في الرئة، وانخفاض في فقدان الوزن، ووقت تعافي سريع بعد تحدي السارس-CoV-2 مقارنة بالمجموعة المحصنة باستخدام S/N وحده، وهو ما كان متسقًا مع مجموعة S + N. نتائج هذه الدراسة. ومع ذلك، لم تكتشف أي من المجموعات عيار الأجسام المضادة المعادلة، وهو ما يمكن تفسيره بالاختلافات في أنواع اللقاحات وحيوانات التجارب [26]. أفادت إحدى دراسات لقاح ناقل الفيروس الغدي SARS-CoV-2 أن لقاح S يوفر حماية حادة للدماغ فقط عند التحصين المشترك مع لقاح N [27]. طورت دراسة أخرى لقاحات Tri: ChAd وBi: ChAd وMono: ChAd التي تعبر عن بروتينات S1/N/RdRp وN/RdRp وS1 على التوالي، واختبرتها في نموذج حيواني B.1.351. وقد لوحظت أمراض جسيمة واسعة النطاق في Mono: ChAdlungs، في حين أن Bi: ChAd وTri: ChAd ظهرت الرئتان خالية تقريبًا من هذه الحالة المرضية [28].
علاوة على ذلك، كانت لدى الحيوانات غير المحصنة أحمال فيروسية عالية في الرئة، في حين أن العلاج ثلاثي: ChAd قلل بشكل كبير من الأحمال الفيروسية بمقدار 3.5 سجل. بالمقارنة، فإن لقاحات Bi: ChAd وMono: ChAd قللت بشكل معتدل من الحمل الفيروسي. تشير هذه النتائج إلى أن التأثير الوقائي للقاح المضاد المزدوج S/N ضد المتغيرات قد يكون أفضل من تأثير لقاح المستضد الفردي S، وهو ما يتوافق مع نتائجنا [28]. أفادت بعض الدراسات أن الفئران المحصنة بالبروتين N تصاب بالتهاب حاد في الرئة بعد الإصابة بفيروس سارس [29-31]. أفادت دراسات سابقة أيضًا أن التحصين بلقاح ناقل الفيروس الغدي الذي يعبر عن بروتين التهاب الكبد الفأري N يحمي الفئران من العدوى المميتة، مما يدل على أن البروتين N يمكن أن يولد تأثيرًا وقائيًا [32]. علاوة على ذلك، كان لدى المجموعة المحصنة بلقاح الحمض النووي CRT/N انخفاض كبير في عيار الفيروس بعد التحدي، مع تعبير فيروس الوقس عن بروتين SARS-CoV N [33].

cistanche tubulosa-تحسين الجهاز المناعي
أظهرت إحدى الدراسات التي أجريت على بروتين S أن لقاح الحمض النووي/البروتين المدمج حفز كلا من المناعة الخلطية والخلوية بشكل أفضل من لقاح الحمض النووي/البروتين وحده [8]. أظهرت اللقاحات التي تستهدف بروتين S فقط انخفاض فعاليتها في الحماية من فيروس كورونا الخفيف إلى المتوسط-19 الناجم عن المتغيرات الناشئة. إن أدوار البروتينات الهيكلية المحفوظة لـ SARS-CoV-2، بما في ذلك بروتينات N/E/M، تستحق الاهتمام في تصميم اللقاح وتطبيقاته، حيث أن استجابات الخلايا التائية المستحثة باللقاح ضد الحواتم المحفوظة لا تتأثر بشكل عام بالطفرات . أفادت إحدى الدراسات أن المرضى المتعافين من السارس (ن=23) ما زالوا يمتلكون خلايا تائية ذات ذاكرة طويلة الأمد تتفاعل مع بروتين SARS-CoV N بعد 17 عامًا من تفشي المرض في عام 2003، والتي أظهرت تفاعلًا متقاطعًا قويًا مع فيروس السارس CoV{ {15}} بروتين N، مما يزيد من التحقق من صحة استخدام البروتين N كهدف للقاح وقائي [34]. أظهرت هذه الدراسة أن التحصين المشترك لـ pS/pN كان مرتبطًا باستجابات nAb أعلى، وإزالة فيروسية أفضل، واستجابات مناعية خلوية محسنة وقد يوفر حماية أفضل بعد تحدي SARS-CoV-2 مقارنة مع pS وحده. علاوة على ذلك، تبين أن متغيرات فيروس كورونا السارس -2 تصيب العديد من الأنواع الحيوانية، وقد لوحظ انتقال العدوى من الإنسان إلى الحيوان في بعض الحيوانات البرية والحيوانات الأليفة [7]. لذا، يحتاج اللقاح البيطري لفيروس السارس-كوف-2 إلى مزيد من الاهتمام. بالإضافة إلى ذلك، قد تكون تكنولوجيا النانو أداة قوية في تحسين اللقاحات وتستحق المزيد من الاهتمام [2].
هذه الدراسة لديها العديد من القيود. أولاً، لاحظنا فقط استراتيجية لقاح الحمض النووي في الفئران BALB/c، ويجب أن تقيم الدراسات المستقبلية التأثيرات المناعية لأنظمة اللقاحات هذه في النماذج الحيوانية الأخرى. ثانيًا، هناك حاجة إلى بحث إضافي لفهم الآليات الجزيئية الكامنة وراء استجابات خلايا CD8 T المعززة الخاصة بـ nAb وS والتي يسببها التحصين المشترك باستخدام بروتينات S وN وتسخير هذه المعرفة لتحسين فيروس كورونا-19 تصميم اللقاح. أخيرًا، تستحق وظيفة الأجسام المضادة الخاصة بالبروتين N مزيدًا من الدراسة.

cistanche tubulosa-تحسين الجهاز المناعي
في الختام، قامت هذه الدراسة بتقييم إمكانات الحماية المناعية للتحصين المشترك مع بروتينات SARS-CoV-2 S وN وE وM. العديد من اللقاحات التي تستهدف بروتين S فقط لها تأثير وقائي منخفض على السلالات المختلفة الناشئة. ستضع نتائجنا الأساس لتطوير لقاح فيروس كورونا التفاعلي -19 للتحكم في متغيرات فيروس السارس -2 الحالية والناشئة ومنع الأوبئة المحتملة لفيروس كورونا.
مراجع
1. زميفسكايا، إي. فاليولينا، أ.؛ جانيفا، أنا؛ بيتوخوف، أ؛ ريزفانوف، أ. بولاتوف، إي. تطبيق العلاج بالخلايا التائية CAR-T خارج نطاق علم الأورام: أمراض المناعة الذاتية والالتهابات الفيروسية. الأدوية الحيوية 2021، 9، 59. [CrossRef] [PubMed]
2. رشيد زاده، ح.؛ دنافار، ه.؛ رحيمي، ه.؛ مظفري، ف.؛ صالحيابار، م.؛ رحمتي، MA؛ رهاموز حقيقي، س.؛ موسىزاده، ن.؛ محمدي، ع؛ إرتاس، YN. وآخرون. تكنولوجيا النانو في مواجهة فيروس كورونا الجديد (فيروس المتلازمة التنفسية الحادة الوخيمة فيروس كورونا 2): التشخيص والعلاج والمعالجة والآفاق المستقبلية. طب النانو 2021، 16، 497-516. [المرجع المتقاطع]
3. فونتانيت، أ.؛ كوشيميز, S.COVID-19 مناعة القطيع: أين نحن؟ نات. القس إيمونول. 2020، 20، 583-584. [CrossRef] [مجلات]
4. جياناثان، م.؛ أفخامي، س.؛ سمايل، ف؛ ميلر، MS؛ ليتشي، دينار بحريني؛ Xing, Z. الاعتبارات المناعية لاستراتيجيات لقاح كوفيد-19. نات. القس إيمونول. 2020، 20، 615-632. [CrossRef] [مجلات]
5. فانديلي، أ.؛ مونتي، م.؛ ميلانيتي، إي. أرماوس، أ. روبرت، J.؛ زاكو، إي. بشارة، إي؛ ديلي بونتي، ر.؛ Tartaglia، GG التحليل الهيكلي لجينوم SARS-CoV-2 وتنبؤات التفاعل البشري. الدقة الأحماض النووية. 2020، 48، 11270-11283. [CrossRef] [مجلات]
6. جاكسون، سي بي. فرزان، م.؛ تشن، ب. Choe، H. آليات دخول SARS-CoV-2 إلى الخلايا. نات. القس مول. خلية بيول. 2022, 23, 3–20. [المرجع المتقاطع]
7. كونفورتي، أ.؛ سانشيز، E.؛ سالفاتوري، إي. ليون، ل.؛ كومبانيوني، م.؛ بينتو، إي. بالومبو، ف. داكونتو، إي؛ موزي، أ.؛ روسيلي، ج. وآخرون. يؤدي مرشح لقاح الحمض النووي الخطي الذي يشفر مجال ربط مستقبلات SARS-CoV-2 إلى استجابة مناعية قوية وتحييد الأجسام المضادة في القطط المنزلية. مول. هناك. طرق كلين. ديف. 2023. [المرجع المتقاطع]
8. بورجوياكوفا، م.ب. كاربينكو، لي؛ ميركوليفا، آيوا؛ شيرباكوف، DN؛ رودوميتوف، ا ف ب؛ ستاروستينا، إيف. شانشين، دف؛ إيزيفا، أأ؛ نسميانوفا ، VS . فولكوفا، نيفادا؛ وآخرون. مناعة اللقاح المركب للحمض النووي/البروتين ضد فيروس كورونا -19. ثور. إكسب. بيول. ميد. 2023، 1-4. [المرجع المتقاطع]
9. تشو، ل.؛ يي، Z .؛ شين، Y.؛ لين، ل.؛ تشن، F.؛ شو، Y.؛ وو، Z .؛ تانغ، ه.؛ تشانغ، العاشر. تيان، ف. وآخرون. لقاحات RNA الدائرية ضد السارس-CoV-2 والمتغيرات الناشئة. خلية 2022، 185، 1728-1744.e16. [المرجع المتقاطع]
10. كوربيت، كانساس؛ إدواردز، DK؛ ليست ، ريال. أبيونا، أوم؛ بويوغلو-بارنوم، إس؛ جيليسبي، را؛ هيمانسو، S.؛ شيفر، أ.؛ زيواو، ط م. ديبيازا، ال. وآخرون. تم تمكين تصميم لقاح SARS-CoV-2 mRNA من خلال جاهزية النموذج الأولي لمسببات الأمراض. طبيعة 2020، 586، 567-571. [المرجع المتقاطع]
11. تيان، ج.ه. باتيل، ن.؛ هاوبت، ر. تشو، ه.؛ ويستون، S .؛ هاموند، ه.؛ لوغ، J.؛ بورتنوف، أ. نورتون، J.؛ غيبري زابيير، م.؛ وآخرون. SARS-CoV-2 مناعة لقاح البروتين السكري المرشح NVX-CoV2373 في قرود البابون والحماية في الفئران. نات. مشترك. 2021، 12، 372. [CrossRef] [PubMed]
12. أندريانو، إي. باسيللو، أنا. بيتشيني، G.؛ مانجانارو، ن.؛ بيليري، ب. حسيني، أنا. ليوناردي، م.؛ بانتانو، إي. أبينتو، V.؛ بينينكاسا، إل. وآخرون. تعمل المناعة الهجينة على تحسين الخلايا البائية والأجسام المضادة ضد متغيرات SARS-CoV-2. الطبيعة 2021، 600، 530-535. [المرجع المتقاطع]
13. نقفي، ع.ت. فاطمة، ك.؛ محمد، ت؛ فاطمة، ش؛ سينغ، آي كيه؛ سينغ، أ. عاطف، سم؛ هاريبراساد، G.؛ حسن، المدير العام؛ حسن، MI رؤى حول جينوم SARS-CoV-2 وبنيته وتطوره وإمراضه وعلاجاته: نهج الجينوم الهيكلي. الكيمياء الحيوية. بيوفيس. اكتا مول. أساس. ديس. 2020، 1866، 165878. [CrossRef] [PubMed]
14. عباسي، ج. لقاح الحمض النووي الجديد لكوفيد-19 في الهند للمراهقين والبالغين هو الأول من نوعه. JAMA 2021، 326، 1365. [CrossRef] [PubMed]
15. تشين، ج.؛ دينغ، Y.؛ هوانغ، ب. يُسلِّم.؛ وانغ، دبليو؛ هوانغ، م. تشاي، C.؛ تشاو، Z.؛ يانغ، ر. تشاو، Y.؛ وآخرون. توفر لقاحات الحمض النووي التي تعبر عن بروتينات الغلاف والغشاء حماية جزئية ضد السارس-CoV-2 في الفئران. أمام. إيمونول. 2022، 13، 827605. [المرجع المتقاطع]
16. تيباس، ب.؛ كرينياك، كا؛ باتيل، أ.؛ ماسلو، JN؛ مورو، النائب؛ سيلفستر، AJ. نوبلوك، د.؛ جيليسبي، إي. أمانتي، د.؛ راسين، ت.؛ وآخرون. لقاح Intradermal SynCon®Ebola GP DNA مستقر في درجة الحرارة ويُظهر بأمان مزايا المناعة الخلوية والخلطية لدى المتطوعين الأصحاء. J. إصابة. ديس. 2019، 220، 400-410. [المرجع المتقاطع]
17. سميث، TRF. باتيل، أ.؛ راموس، س. إلوود، د.؛ تشو، X.؛ يان، J.؛ غاري، إن. ووكر، SN. شولثيس، ك. بوروار، م.؛ وآخرون. مناعة لقاح الحمض النووي المرشح لمرض كوفيد-19. نات. مشترك. 2020، 11، 2601. [المرجع المتقاطع]
18. تشاو، ز.؛ دينغ، Y.؛ نيو، ص. أغنية، J.؛ وانغ، دبليو؛ دو، Y.؛ هوانغ، ب. وانغ، دبليو؛ تشانغ، L.؛ تشاو، ب. وآخرون. التحصين المشترك مع لقاحات CHIKV VLP وDNA يؤدي إلى استجابة خلطية واعدة في الفئران. الجبهة المناعية. 2021، 12، 655743. [المرجع المتقاطع]
19. قوان، J.؛ دينغ، Y.؛ تشن، ه.؛ يين، إكس؛ يانغ، Y.؛ Tan، W. التحضير باستخدام لقاحين من الحمض النووي يعبران عن بروتين NS3 لفيروس التهاب الكبد الوبائي الذي يستهدف الخلايا الجذعية يثير إمكانات وقائية متفوقة غير متجانسة في الفئران. قوس. فيرول. 2015، 160، 2517-2524. [المرجع المتقاطع]
20. تشين، هـ؛ ون، ب. دينغ، Y.؛ وانغ، دبليو؛ يين، إكس؛ قوان، J.؛ روان، ل.؛ Tan، W. التأثير المعزز لتحصين الحمض النووي بالإضافة إلى التثقيب الكهربائي في الجسم الحي مع مزيج من البلازميدات الأساسية لفيروس التهاب الكبد B-PreS1 وS-PreS1. كلين. لقاح إيمونول. 2011، 18، 1789-1795. [المرجع المتقاطع]
21. يانغ، ر.؛ دينغ، Y.؛ هوانغ، ب. هوانغ، L.؛ لين، أ. لي، Y.؛ وانغ، دبليو؛ ليو، J.؛ لو، س. زان، Z .؛ وآخرون. لقاح COVID-19 mRNA منظم ذو غلاف أساسي مع نمط توزيع حيوي ملائم ومناعة واعدة. نقل الإشارة. الهدف هناك. 2021، 6، 213. [CrossRef] [PubMed]
22. يانغ، ر.؛ هوانغ، ب. أ، ر. لي، دبليو؛ وانغ، دبليو؛ دينغ، Y.؛ Tan، W. تطوير وفعالية نظام النمط الكاذب لـ SARS-CoV-2 كما هو محدد من خلال تحييد الكفاءة واختبار تثبيط الدخول في المختبر. Biosaf. الصحة 2020، 2، 226-231. [CrossRef] [مجلات]
23. جيا، س. بيليفيلدت أومان، هـ؛ ميزون، آر إم؛ ماسليشا جاليك، إس؛ كوبر، كورونا. بوين، را. هورويتز، MRA تكرار اللقاح المتجه للبكتيريا الذي يعبر عن السارس-CoV-2 غشاء وبروتينات القفيصة النووية يحمي من المرض الشديد-19-المشابه لمرض كوفيد في الهامستر. لقاحات NPJ 2021، 6، 47. [CrossRef] [PubMed]
24. هاجنيك، ر.ل. بلانت، جا؛ ليانغ، Y.؛ علامة، م.-ج.؛ تانغ، J.؛ تشونغ، C.؛ آدم، أ. شارتون، د.؛ رافائيل، غ. ليو، Y.؛ وآخرون. يعزز التطعيم التوافقي mRNA الحماية ضد متغير دلتا SARS-CoV-2. bioRxiv 2021. [CrossRef]
25. أنطون، آي إم؛ غونزاليس، S .؛ بوليدو ، إم جي . كورسين، م.؛ ريسكو، سي. لانجفيلد، جي بي؛ Enjuanes، L. التعاون بين البروتينات الهيكلية لفيروس التهاب المعدة والأمعاء الانتقالي (TGEV) في التحريض المختبري للأجسام المضادة الخاصة بالفيروسات. الدقة الفيروسية. 1996، 46، 111-124. [المرجع المتقاطع]
26. ديشامبولت، ي.؛ لينش، J.؛ وارنر، ب. تيرني، ك.؛ هيونه، D.؛ فيندراميلي، ر. خياط، ن؛ فروست، ك. بوث، س.؛ ساجيش، ب. وآخرون. التحصين الفردي باستخدام فيروسات لقاح ACAM2000 المؤتلفة التي تعبر عن الارتفاع وبروتينات القفيصة النووية تحمي الهامستر من مرض السارس-CoV-2- الذي يسبب المرض السريري. bioRxiv 2021. [CrossRef]
27. بينالوزا-ماكماستر، ب.؛ كلاس، جي؛ اللعنة عليها.؛ Richner، JM A SARS CoV-2 لقاح القفيصة النووية يحمي من انتشار الفيروس البعيد. بيوركسيف 2021.
28. أفخامي، س.؛ داجوستينو، السيد؛ تشانغ، أ.؛ ستايسي، HD؛ مرزوق، ع. كانغ، أ.؛ سينغ، ر. بافانانثاسيفام، J .؛ أيها ج. لو، اكس؛ وآخرون. يوفر توصيل الغشاء المخاطي للجهاز التنفسي للجيل القادم من لقاح فيروس كورونا (-19) حماية قوية ضد كل من سلالات الأسلاف والمتغيرة لـ SARS-CoV-2. خلية 2022، 185، 896-915.e19. [المرجع المتقاطع]
29. تشنغ، ن.؛ شيا، ر. يانغ، C.؛ يين، ب. لي، Y.؛ دوان، C.؛ ليانغ، L.؛ قوه، ه.؛ Xie، Q. تعزيز التعبير عن بروتين القفيصة النووية لـ SARS-CoV في التبغ وقدرته المناعية في الفئران. لقاح 2009، 27، 5001-5007. [المرجع المتقاطع]
30. ياسوي، ف.؛ كاي، سي. كيتاباتاكي، م.؛ إينوي، س. يونيدا، م.؛ يوكوتشي، S .؛ كيس، ر. سيكيغوتشي، S .؛ موريتا، ك.؛ هيشيما، ت.؛ وآخرون. يسبب التحصين المسبق مع بروتين القفيصة النووية المرتبط بالمتلازمة التنفسية الحادة الوخيمة (SARS) المرتبط بفيروس كورونا (SARS-CoV) التهابًا رئويًا حادًا في الفئران المصابة بفيروس SARS-CoV. جي إمونول. 2008، 181، 6337-6348. [المرجع المتقاطع]
31. ديمينج، د.؛ شيهان، T.؛ هيز، م.؛ يونت، ب. ديفيس، ن.؛ سيمز، أ. سوثار، م.؛ هاركيما، J .؛ ويتمور، أ.؛ المخللات، ر. وآخرون. فعالية اللقاح في الفئران المسنة تواجه تحديات مع فيروس السارس المؤتلف الحامل للوباء والمتغيرات الحيوانية المنشأ. بلوس ميد. 2006، 3، e525. [CrossRef] [مجلات]
32. فيسيلنج، جي جي؛ جوديكي، جي جي؛ شينز، في. بريفيك، L.؛ جراهام، ف؛ هورزينك، MC؛ Rottier، PJ Mouse ارتفاع فيروس التهاب الكبد الوبائي وبروتينات القفيصة النووية التي تعبر عنها نواقل الفيروسات الغدية تحمي الفئران من العدوى المميتة. جيه الجنرال فيرول. 1993، 74، 2061-2069. [CrossRef] [مجلات]
33. كيم، تي دبليو؛ لي، ج.ه. هونغ، قوات التحالف. بنغ، س. رودن، ر. وانغ، ماك. فيسيدي، ر. تساي، واي سي؛ هو، ل. تشن، بيجاي. وآخرون. توليد وتوصيف لقاحات الحمض النووي التي تستهدف بروتين القفيصة النووية لفيروس كورونا المتلازمة التنفسية الحادة الوخيمة. جي فيرول. 2004، 78، 4638-4645. [CrossRef] [مجلات]
34. لو بيرت، ن.؛ تان، في؛ كوناسيجاران، ك.؛ ثام، سيل. حافظي، م.؛ شيا، أ.؛ تشنغ، MHY؛ لين، م. تان، ن.؛ لينستر، م. وآخرون. مناعة الخلايا التائية الخاصة بـ SARS-CoV-2- في حالات فيروس كورونا (COVID)-19 والسارس، والضوابط غير المصابة. طبيعة 2020، 584، 457-462. [المرجع المتقاطع]
